New Onetime Lifetime Subscription
Payment
To make the site more accessible, we have decided to remove the yearly subscription and keep only a one-time, lifetime payment to get access to all content at www.ctchestreview.com and www.ctbiopsy.com. These sites are linked and hence one payment gives access to both sites, but the

Current Case:
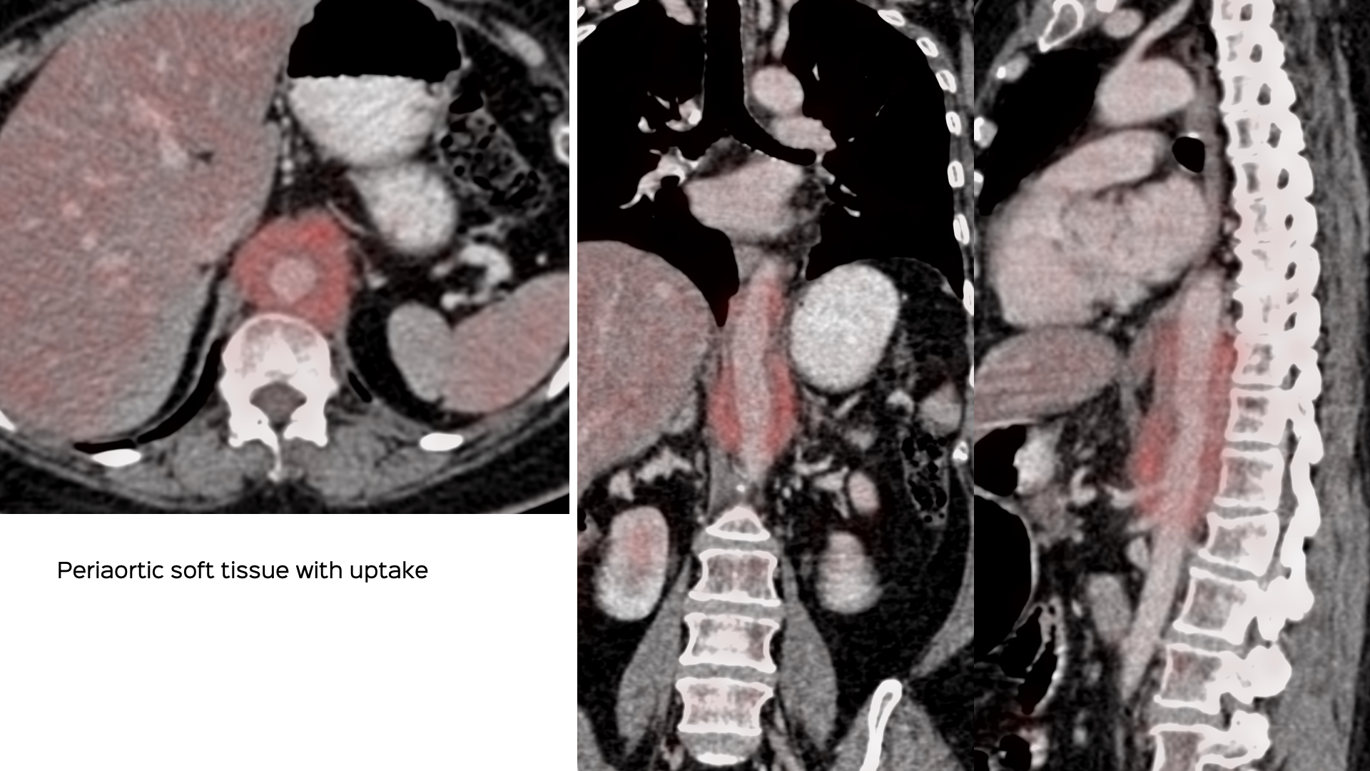
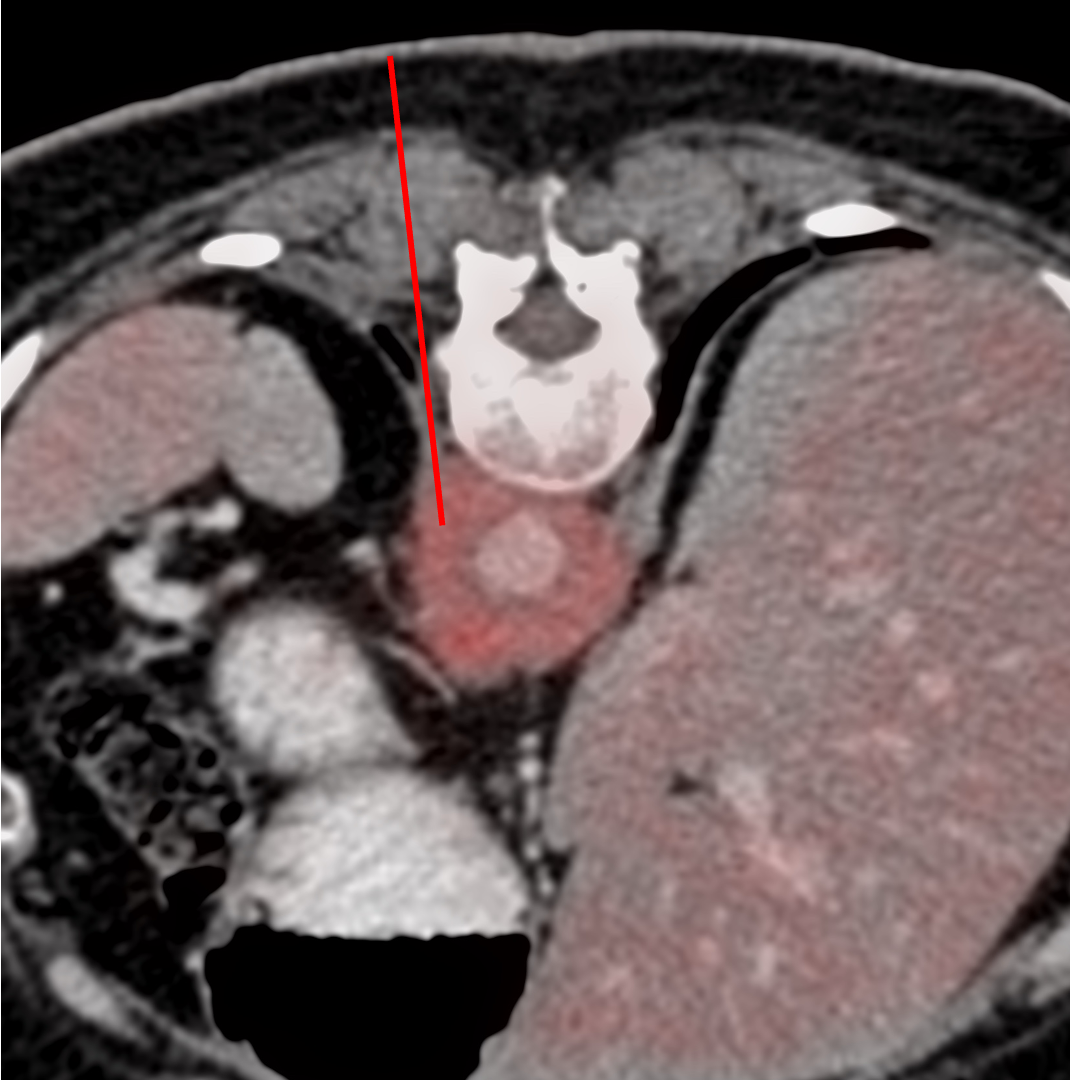
67-years old lady with fever presented with soft tissue encasing the thoraco-abdominal aorta.

This pattern of disease is most common with idiopathic fibrosis, IgG4-related disease.
The rheumatologist and physician, both wanted histopath proof.
I have shown one similar case before.
Case 89: Biopsy of Retroperitoneal Fibrosis
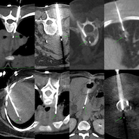
Biopsy of retroperitoneal fibrosis is possible under CT guidance

I decided to use a prone approach from the left.

The video describes the case, the final diagnosis, 4 other similar cases, one with an anterior approach with one new reference.


