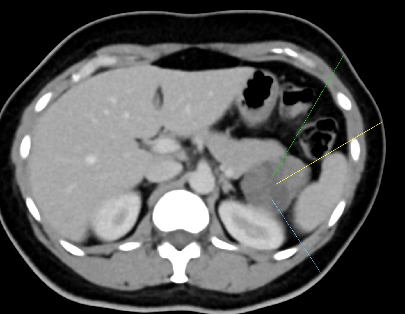
This 45-years old patient presented with a lesion in the tail of the pancreas.

These were the options available for biopsy.
The video discusses the case, the various options and the final biopsy.
This 45-years old patient presented with a lesion in the tail of the pancreas.

These were the options available for biopsy.
The video discusses the case, the various options and the final biopsy.