After subscription you will be able to view 90% of all posts in the future for free for at least a week after they are first posted.
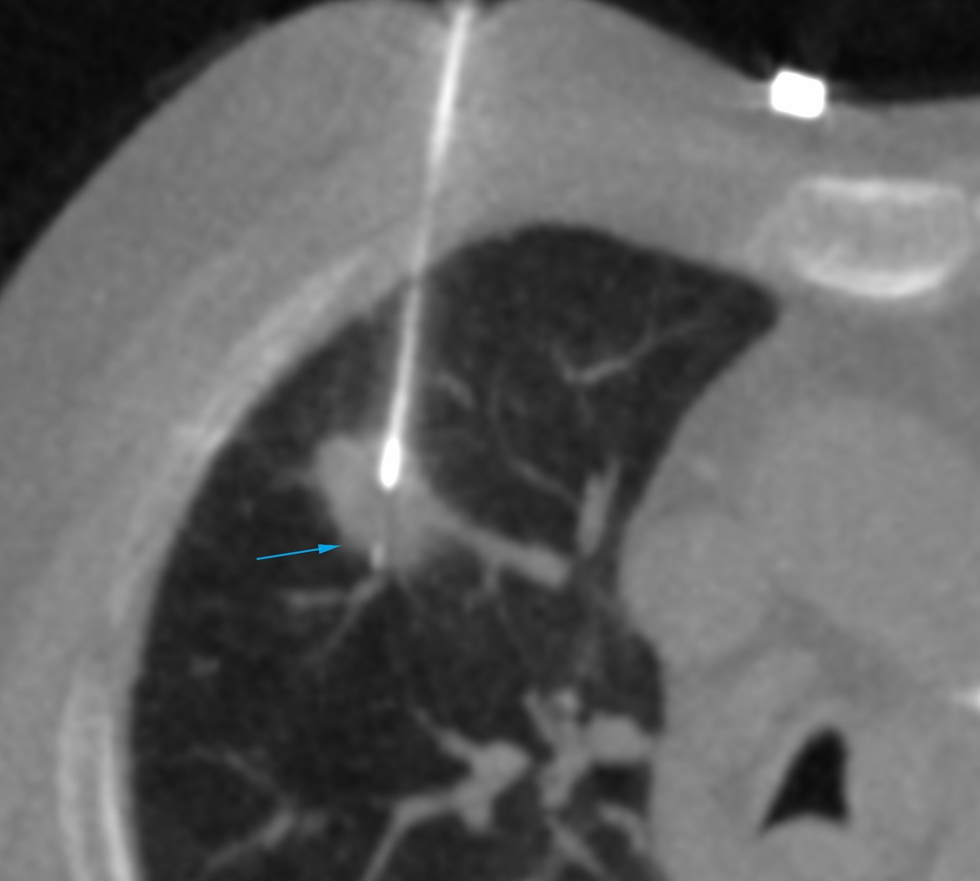
A 67-years old ex-smoker came for a CT-guided biopsy. The biopsy was uneventful.

Region: Lung
Age: 67 years
Findings: Lung nodule
Lesion Biopsied: Lung nodule
Size of Lesion: 15.8 mm z axis x 17.6 mm
Gun: 20 G 10 mm throw
No of cores: 5 for histopath and 3 for micro
Sedation: No
Position & Approach: Supine
Time Taken (marker to wash-out): 11 mins
Complication: None
Level of Difficulty: 4/5
Diagnosis: Poorly differentiated adenosquamous carcinoma
He wanted to fly back immediately. What are your recommendations?
- Same day is fine
- After 24 hours
- After 72 hours
- After 1 week
- After 2 weeks
- After 6 weeks
The video discusses this topic.
