Table of Contents
Table of Contents
Table of Contents

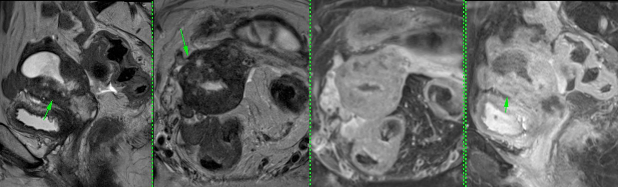
This 68-years old had carcinoma cervix for which she treated. There was recurrence in the uterine cavity, but the lesion could not be targeted easily for a biopsy due to a high-grade lower uterine stenosis and both, USG guided transvaginal and hysteroscopy guided biopsy were deemed not possible and the patient was referred for a CT guided biopsy.


The video below discusses the case, the approach and the way the biopsy was done followed.

