Table of Contents
Table of Contents
Table of Contents

Previous Case - Only for Paid Members
Case 132: Biopsy of a Sclerotic Rib Lesion without Soft Tissue
Rib lesion biopsies can be safely done in virtually all situations.

Case:
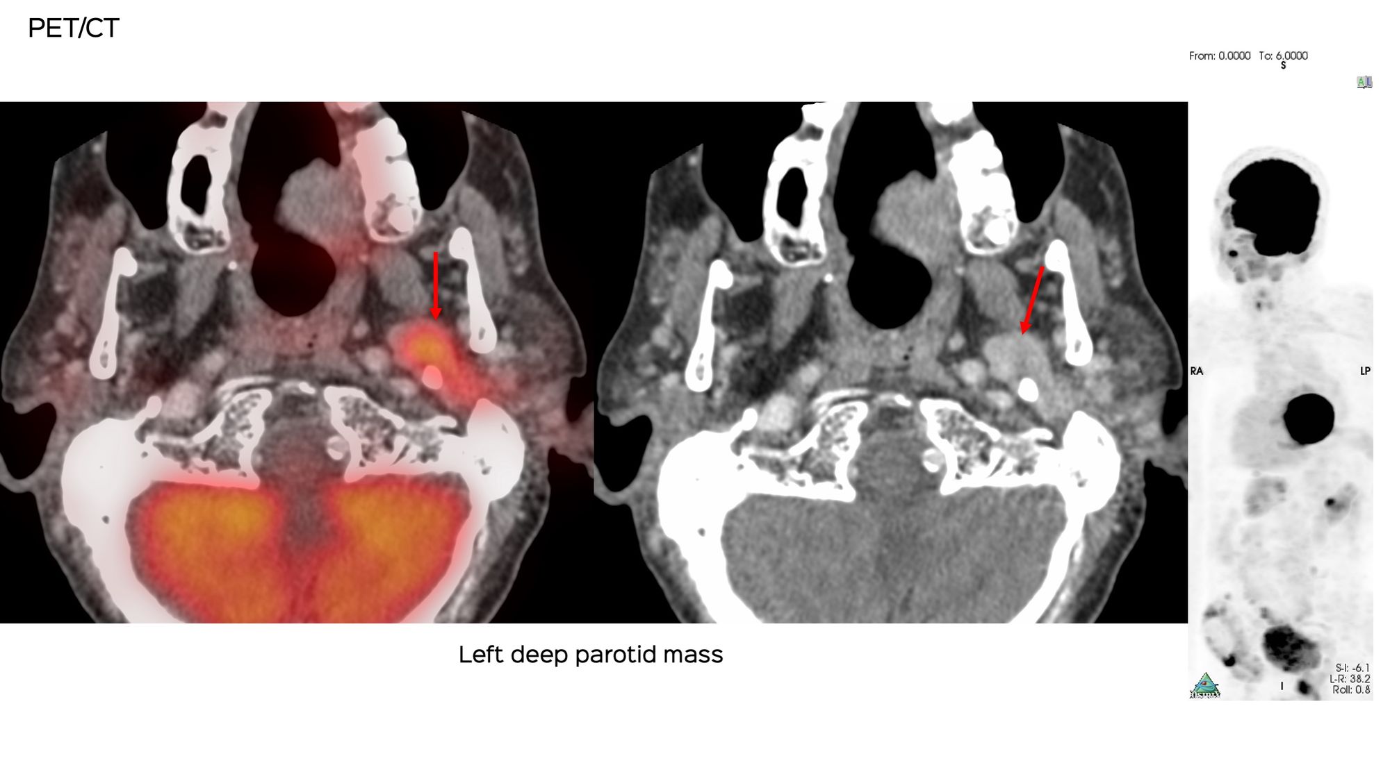
An 81-years old was found to have a left deep parotid mass.

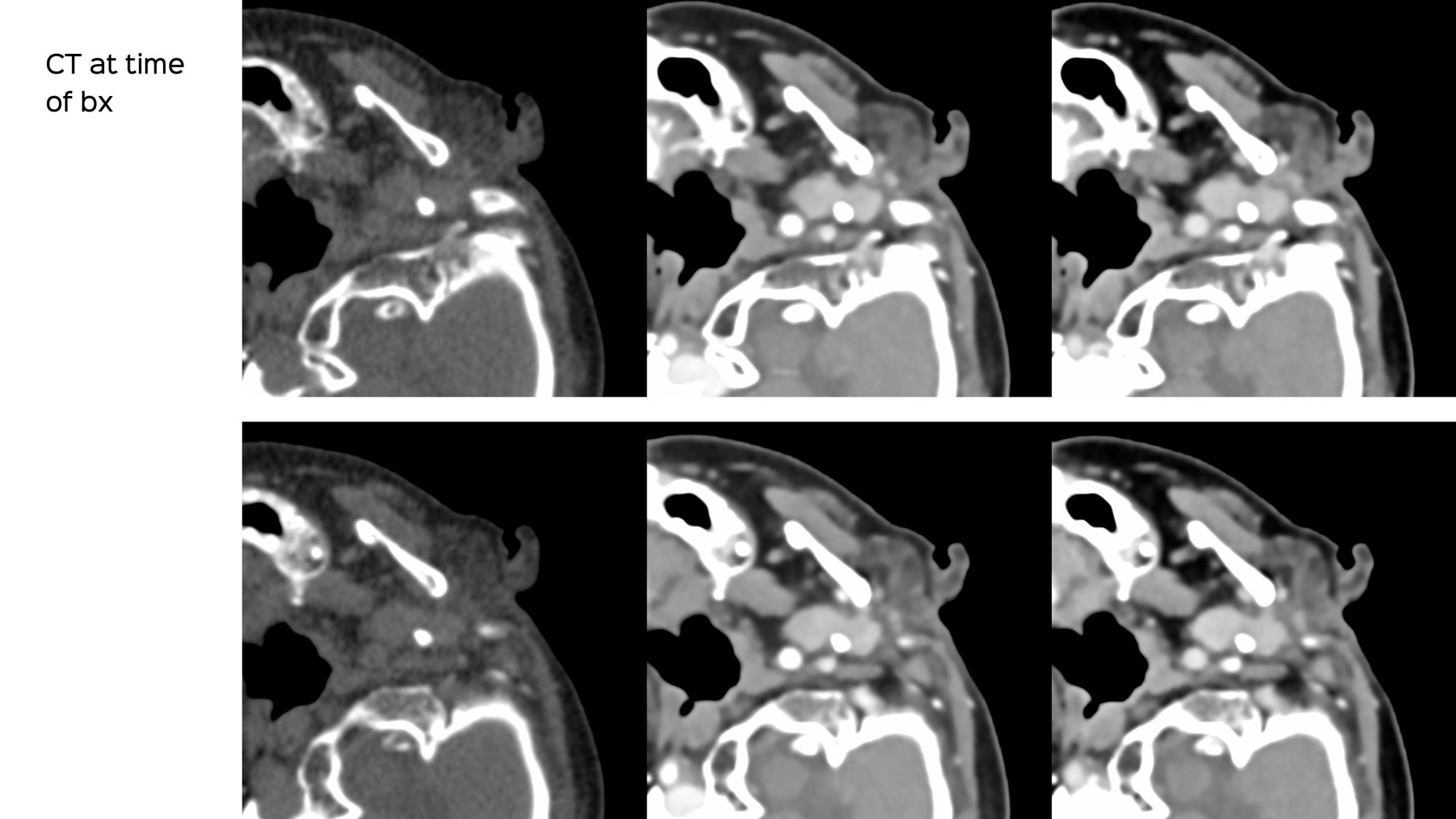
The surgeon asked for a CT guided biopsy. This was the appearance at the time of the biopsy

What route will you take?

Please click on the Subscribe button below to see the video describing the case, the technique, the pitfalls, similar other cases as well as the concept of railroading used in this case.
Other Head & Neck Biopsies
Head Neck - CT Guided Biopsy
Understanding, learning and discussing computed tomography (CT) guided biopsies and ablations

Fixed Point Method
Fixed Point - CT Guided Biopsy
Understanding, learning and discussing computed tomography (CT) guided biopsies and ablations


