Table of Contents
Table of Contents
Table of Contents

Previous Case & Previous Lecture:
Case 136: Costal Cartilage and Costochondral Biopsy
Costal cartilage and costochondral biopsies are quite straightforward and to be tackled in the same way as rib and bone biopsies

Current Case:
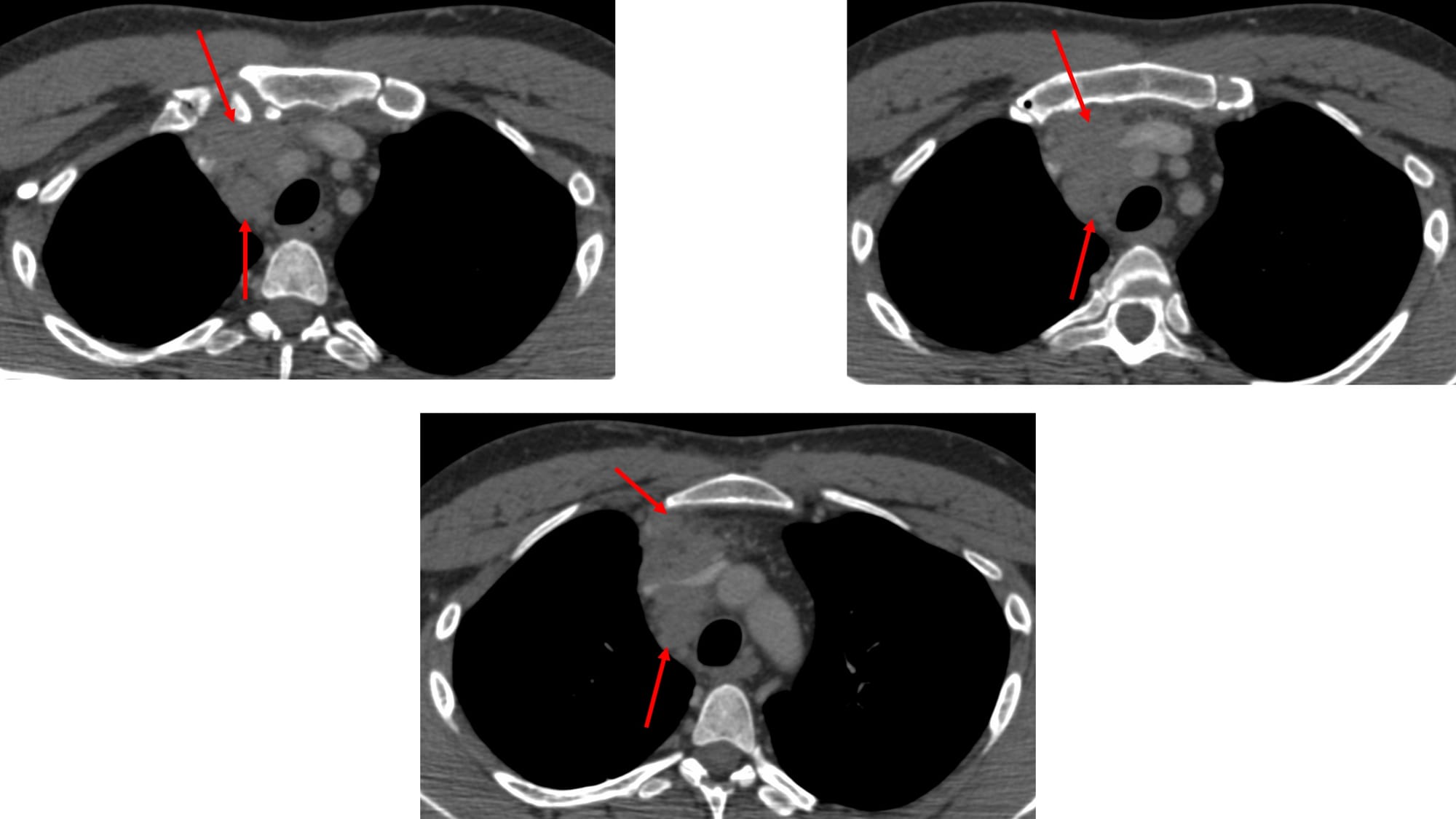
A 46-years old presented with a prevascular space nodal mass extending into the middle mediastinum.

A biopsy was asked for.
What route will you take?

After I had decided on the route, I found that the situation had changed during the CT scan obtained just at the time of the biopsy.

Which route will you take for the biopsy?
Please click on the Subscribe button below to see the video describing the case, the plan, the procedure and the final outcome.

