All My Posts and Links
bjankharia | Instagram, Facebook | Linktree
Radiologist, Writer, Atmasvasth

Current Case:
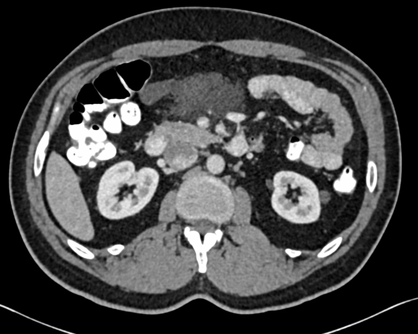
A 54-years old with a mesenteric mass presented for a biopsy - the mass was unchanged over 6 months.

Though, this was likely a lymphatic cyst, the surgeon wanted a biopsy, because one of the earlier reports had raised the possibility of lymphoma.
The biopsy was performed with an 18G BARD coaxial gun. Milky fluid was aspirated, which confirmed the diagnosis.

The video discusses the case, the approach to this lesion and a discussion of cases where a diagnosis can be made on table due to the look of the material or the feel during biopsy.

