All My Posts and Links
bjankharia | Instagram, Facebook | Linktree
Radiologist, Writer, Atmasvasth

Current Case:
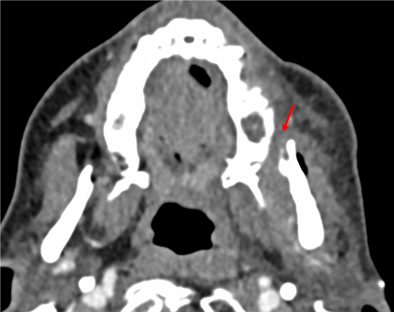
A 54-years old treated for left upper buccal squamous cell carcinoma had pain and difficulty in mouth opening.
PET/CT showed soft tissue but with minimal uptake in the left upper buccal space extending into the masticator space

It was decided to follow-up this lesion, since it was not clear, whether this was post-operative of tumor. 6 weeks later, a contrast CT shows minimal increase in the soft tissue

The patient was sent for a biopsy.
How will you biopsy this lesion?
The video discusses the case, the approach to this lesion and a discussion of suprahyoid neck biopsies.

