Table of Contents
Table of Contents
Table of Contents

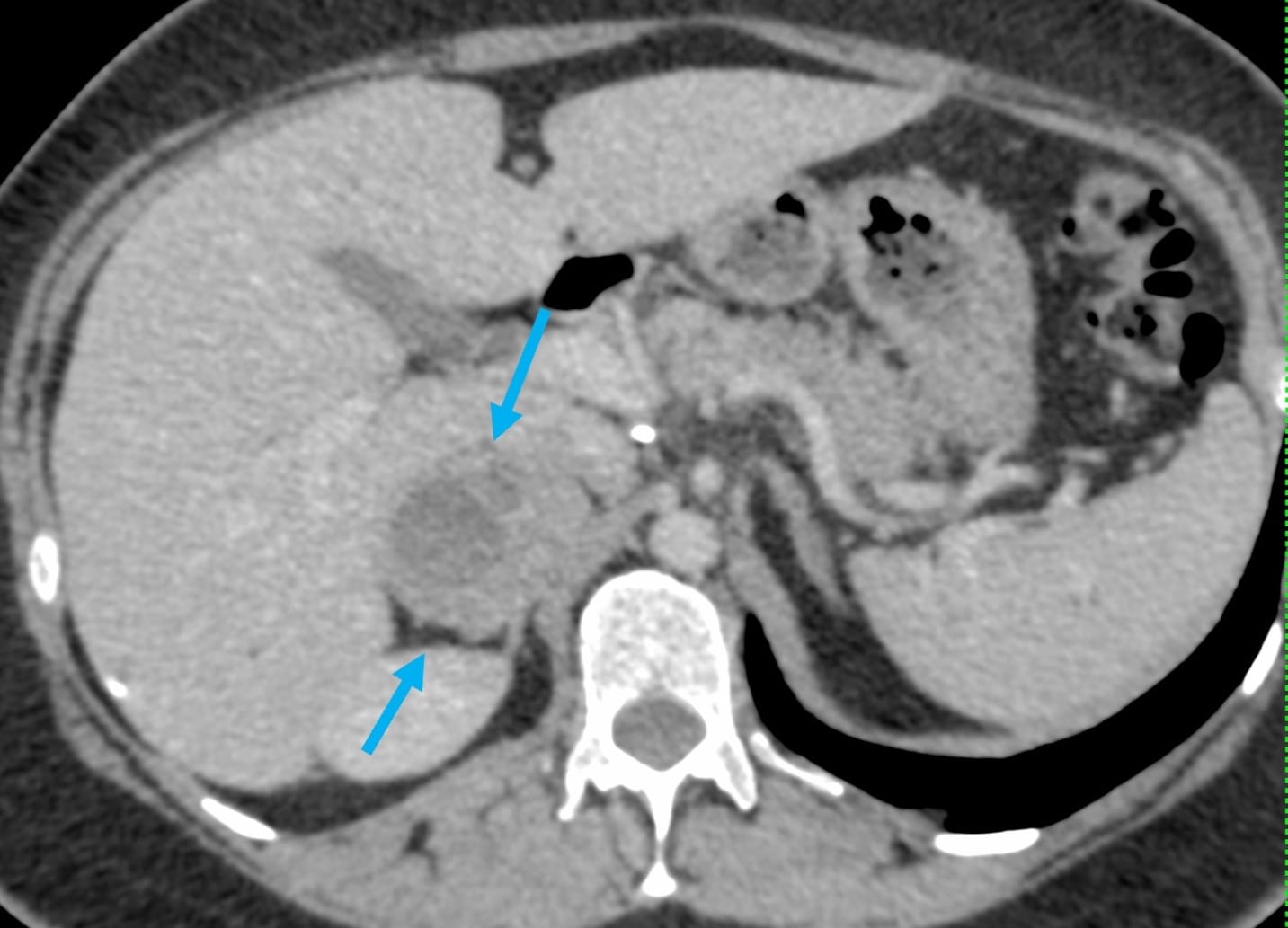
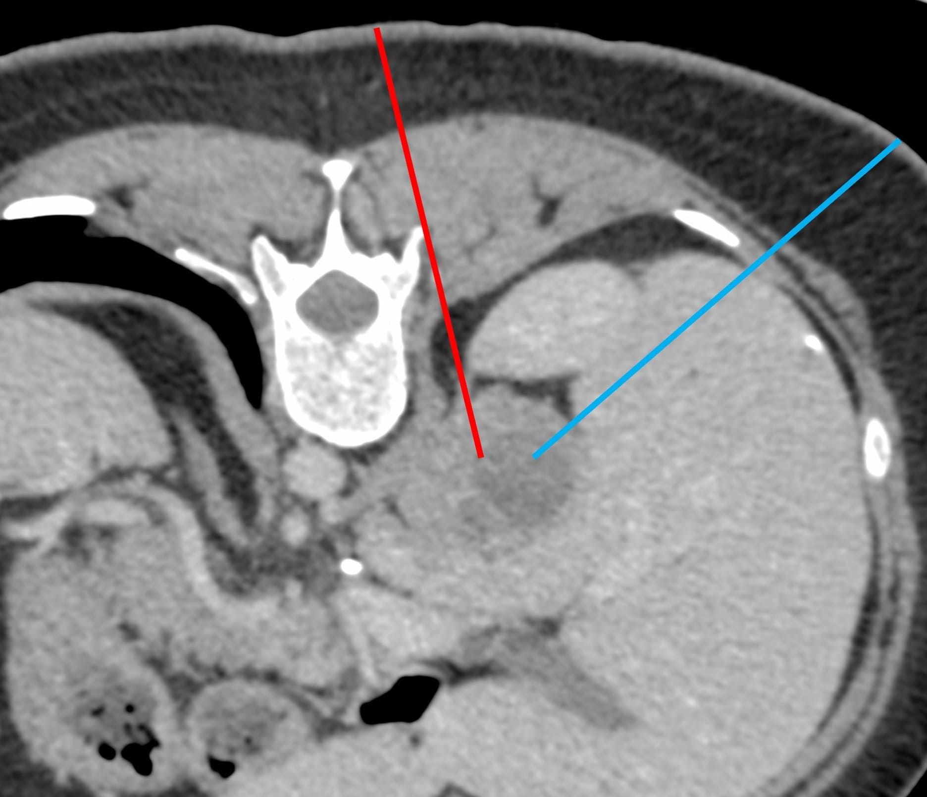
Current Case:
A 40-yrs old presented with a right adrenal gland nodule for biopsy.

What route will you take?

The video discusses the case, the approach to this lesion and a discussion of different adrenal gland biopsy approaches

