Table of Contents
Table of Contents
Table of Contents

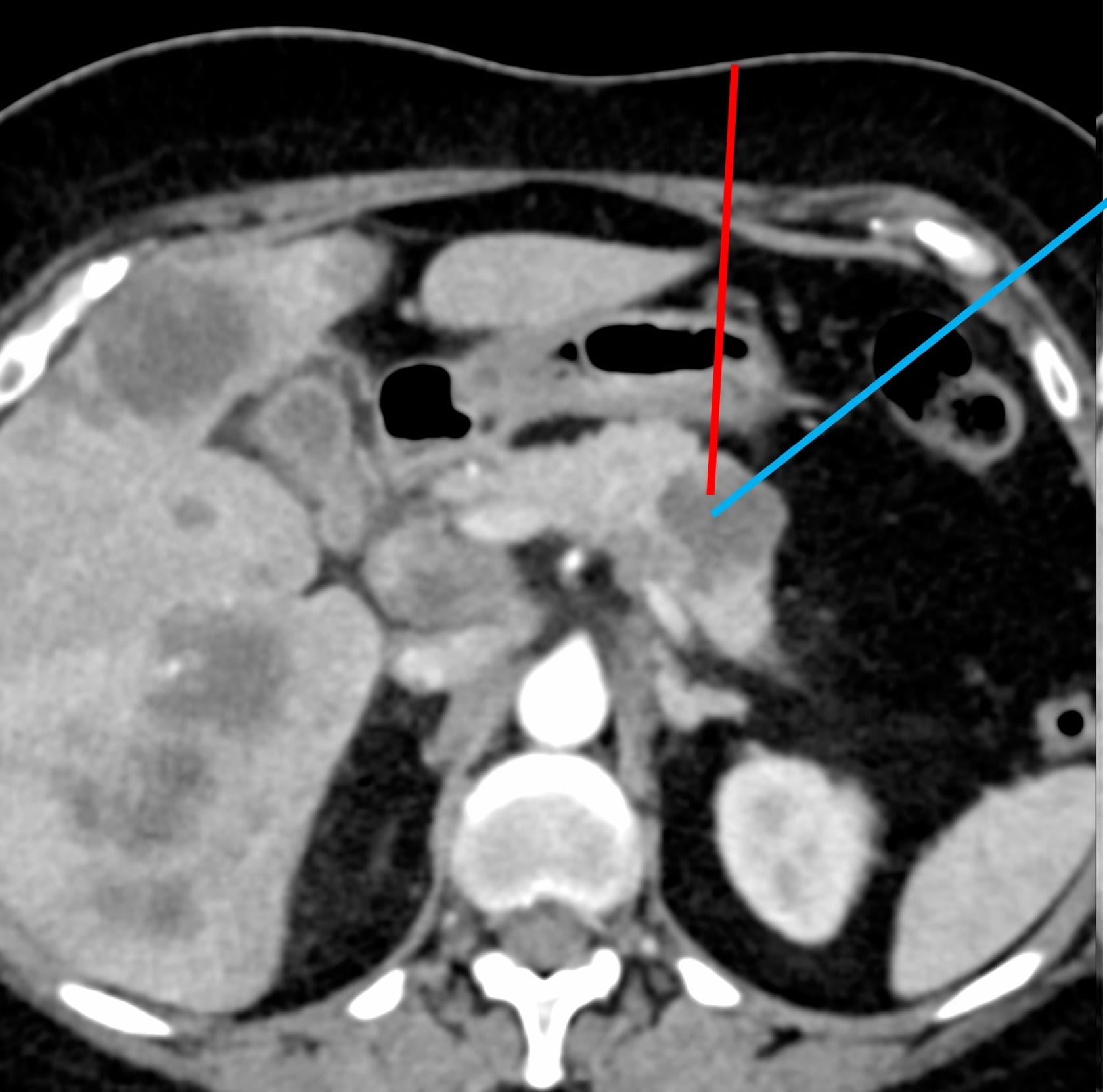
Current Case:
A 55-yrs old presented with a pancreatic body mass and liver lesions.

USG guided liver lesion biopsy was negative and the oncologist wanted a biopsy from the pancreatic body lesion.
What route will you take?

The video discusses the case, the approach to this lesion and a discussion of how to use the blunt tip stylet to navigate around bowel and vessels with 3 other cases.

