New Onetime Lifetime Subscription
Payment
To make the site more accessible, we have decided to remove the yearly subscription and keep only a one-time, lifetime payment to get access to all content at www.ctchestreview.com and www.ctbiopsy.com. These sites are linked and hence one payment gives access to both sites, but the

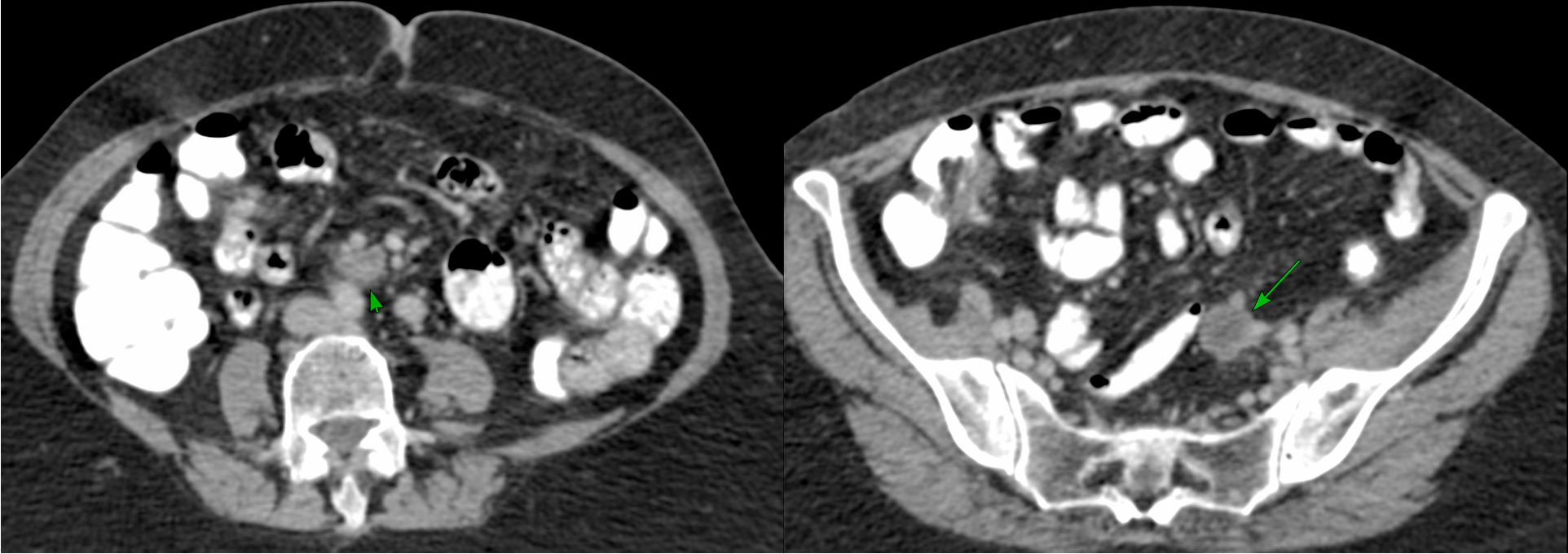
Current Case:
A 69-years old treated earlier for carcinoma ovary and endometrium, presented with new mesenteric nodules/nodes.

The oncologist wanted a biopsy.

This node/nodule and approach seemed to be the best bet.
The video describes the case, the use of the blunt-tip to bypass the bowel without going transbowel and the ease with which these lesions can be targeted.

