New Onetime Lifetime Subscription
Payment
To make the site more accessible, we have decided to remove the yearly subscription and keep only a one-time, lifetime payment to get access to all content at www.ctchestreview.com and www.ctbiopsy.com. These sites are linked and hence one payment gives access to both sites, but the

Current Case:
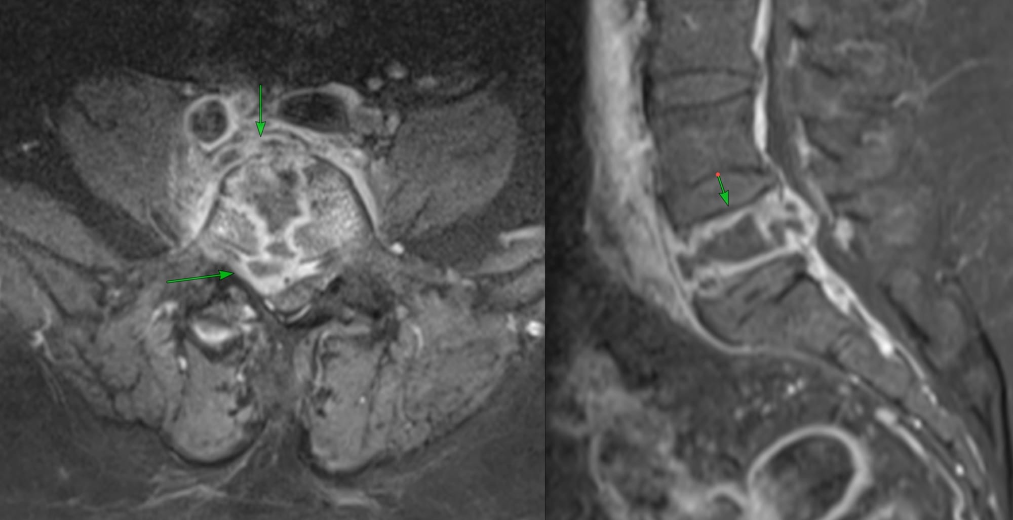
A 64-yrs old patient presented with low backache and MRI showed an osteolytic lesion in the L5 vertebral body.

She was referred for a biopsy. On the MRI, it seemed a transpedicular approach may be possible, but once she was prone, the only approach was through the facet joint.

The video describes the case, the use of the transfacet joint approach and other similar cases.

