New Onetime Lifetime Subscription

Current Case:
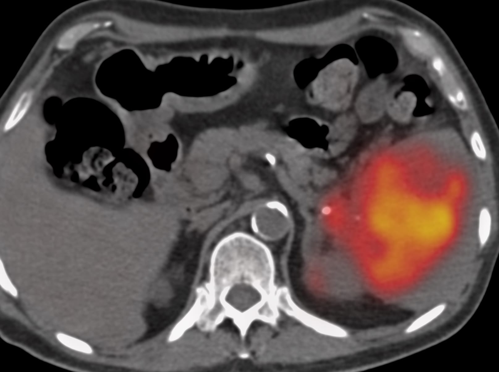
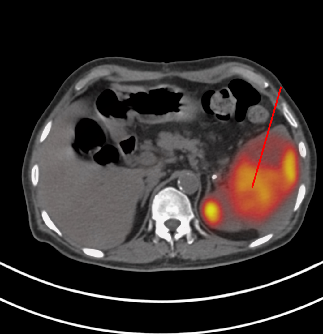
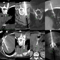
66-years old man presented with a mass in the spleen involving the tail of the pancreas.

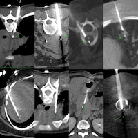
The patient came for a biopsy and I decided to use an anterior approach in the supine position.

I had described a splenic lesion biopsy earlier as Case 115.

The video below describes the case, the final outcome, 3 new papers in the last years, since Case 115 and one more case.
Click here if you can't see the embedded video in your email.
Region: Spleen
Age: 66 years
Findings: Large splenic mass involving tail of pancreas
Lesion Biopsied: Splenic mass
Size of Lesion: > 30 mm
Gun: 18G BARD, 20 mm throw, long
No of cores: 5 for HP
Sedation: No
Position & Approach: Supine
Time Taken (marker to wash-out): 6 mins
Complication: 75 cc bleeding perisplenic stable after the 1st hour
Level of Difficulty: 3/5
Diagnosis: Non-Hodgkin’s lymphoma, large B-cell type
Table of Contents and Other Pelvic Node Biopsies

Previous Post:

Other Sites and Cases:
Case of the Day on YouTube









