New Onetime Lifetime Subscription
Payment
To make the site more accessible, we have decided to remove the yearly subscription and keep only a one-time, lifetime payment to get access to all content at www.ctchestreview.com and www.ctbiopsy.com. These sites are linked and hence one payment gives access to both sites, but the

Current Case:
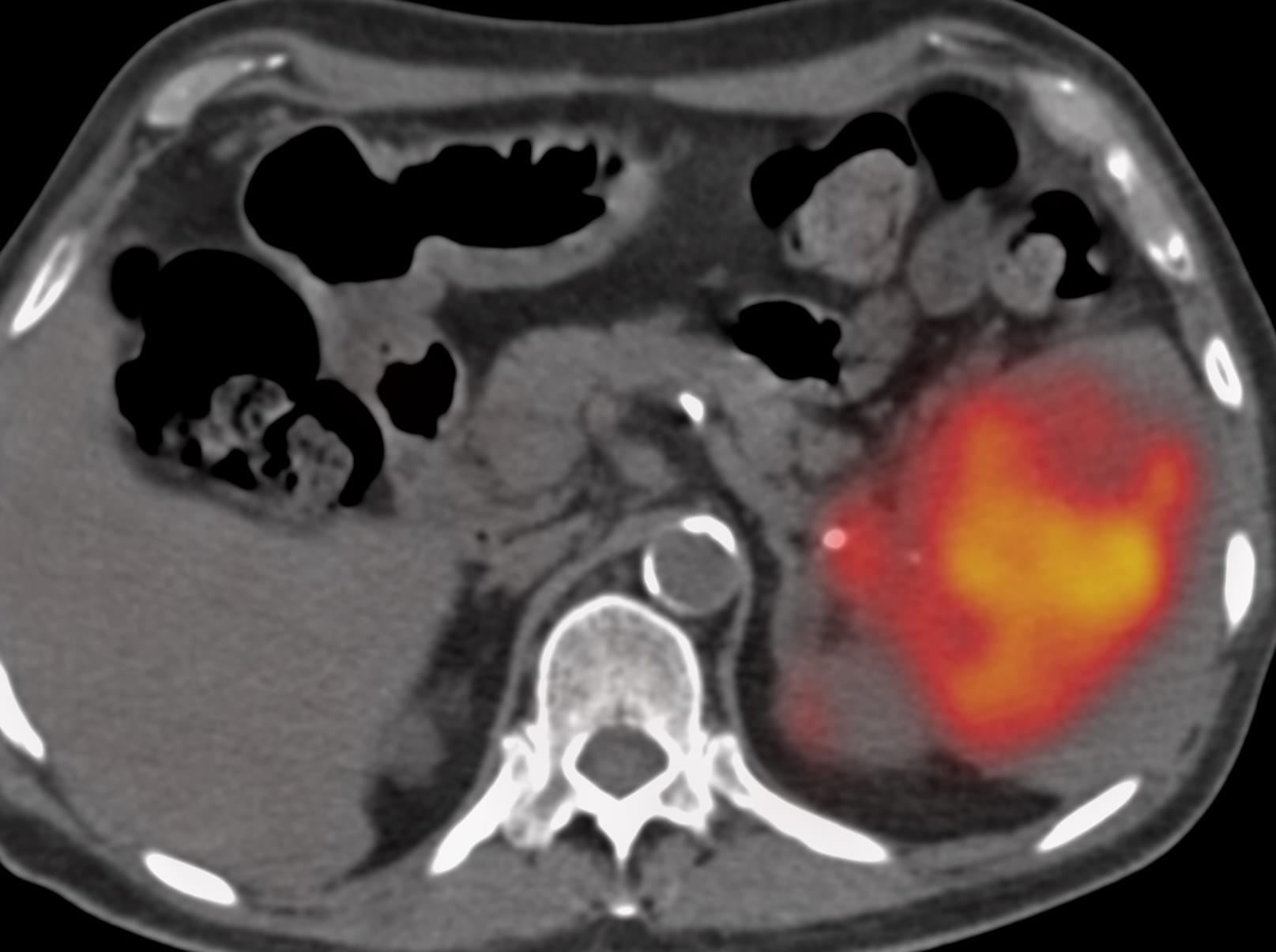
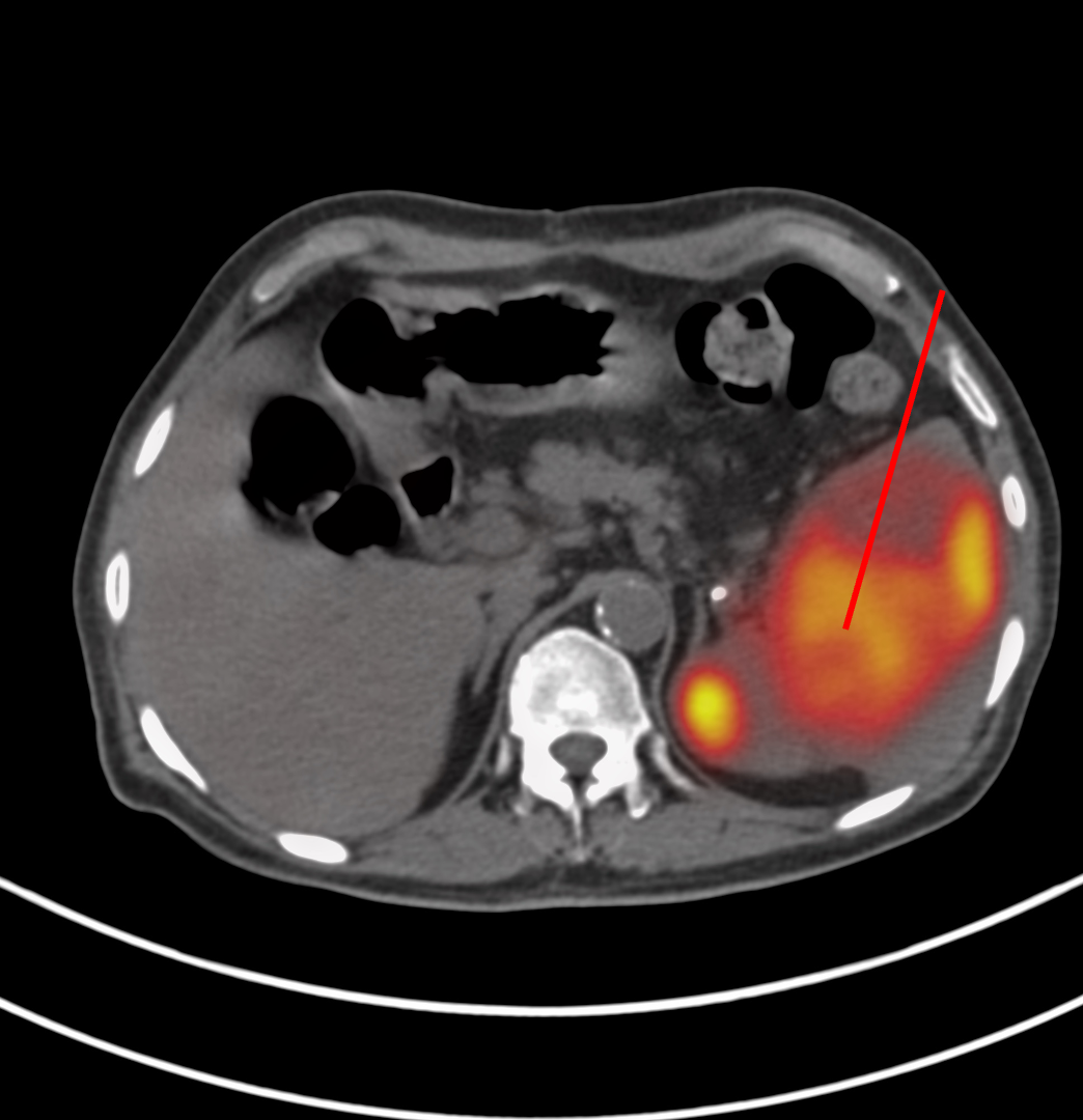
66-years old man presented with a mass in the spleen involving the tail of the pancreas.

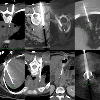
The patient came for a biopsy and I decided to use an anterior approach in the supine position.

I had described a splenic lesion biopsy earlier as Case 115.
Case 115: Splenic Lesion Biopsy
Splenic lesion biopsies are simple and straightforward. Bleeding and pain are the two main issues.

The video below describes the case, the final outcome, 3 new papers in the last years, since Case 115 and one more case.


