New Onetime Lifetime Subscription
Payment
To make the site more accessible, we have decided to remove the yearly subscription and keep only a one-time, lifetime payment to get access to all content at www.ctchestreview.com and www.ctbiopsy.com. These sites are linked and hence one payment gives access to both sites, but the

YouTube Live 02 - 26 Feb 2026 - Thursday 7 PM
Cases
The 6 Cases for YouTube Live on 26 Feb at 7 PM Indian Standard Time
I will be discussing these 6 biopsy cases from Jan 2026, across different levels of difficulty. Even if you are not interested in the biopsy part, the cases themselves are interesting with a diagnosis at the end (because we’ve done a biopsy) and it may be worthwhile just attending for

Link
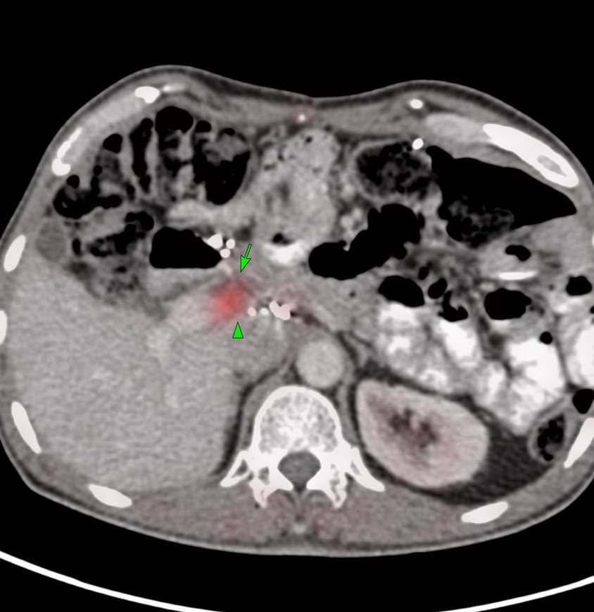
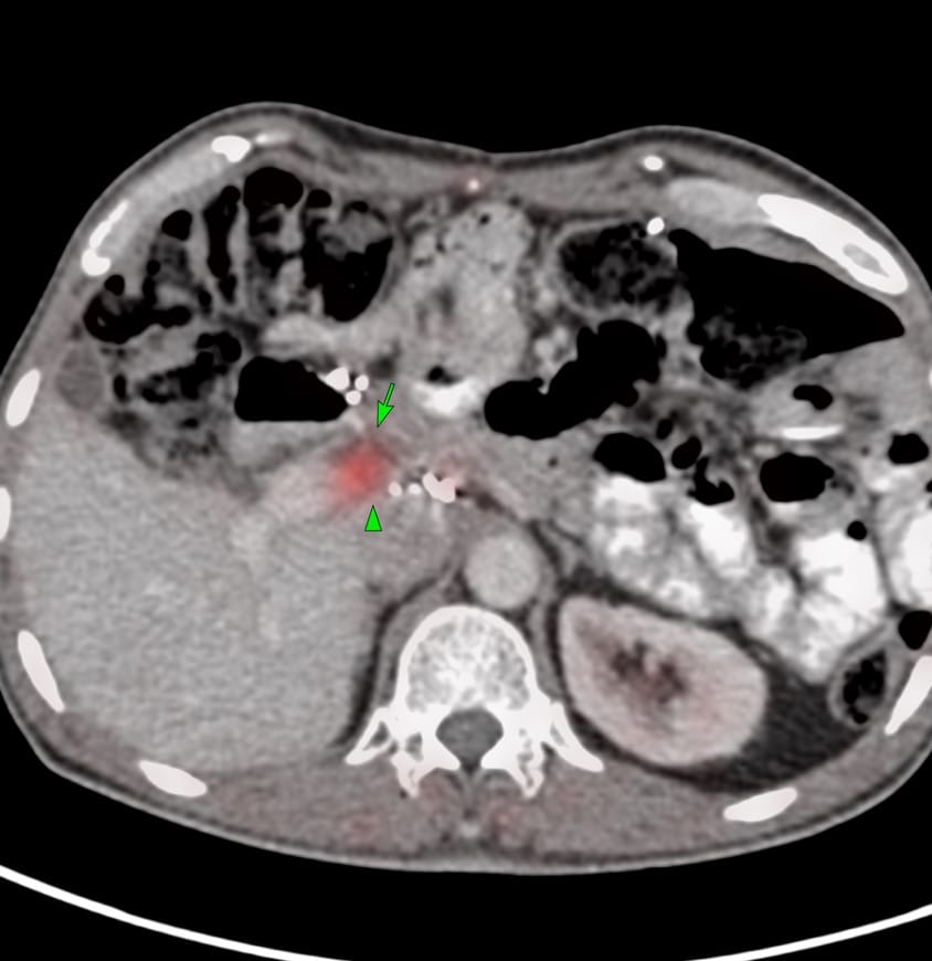
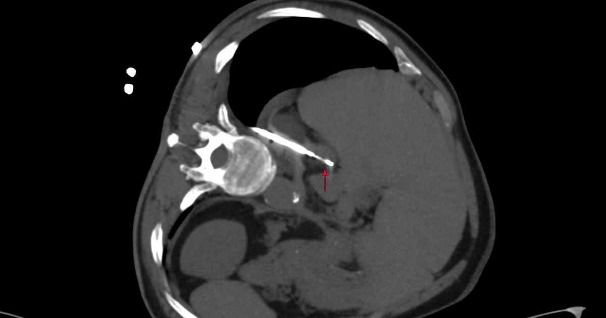
Current Case:
61-years old treated for Ca stomach with a Whipple’s had a new active node on a FAPI PET/CT.

What would be your approach, given the overlying leash of bowel loops and overlying vessels?

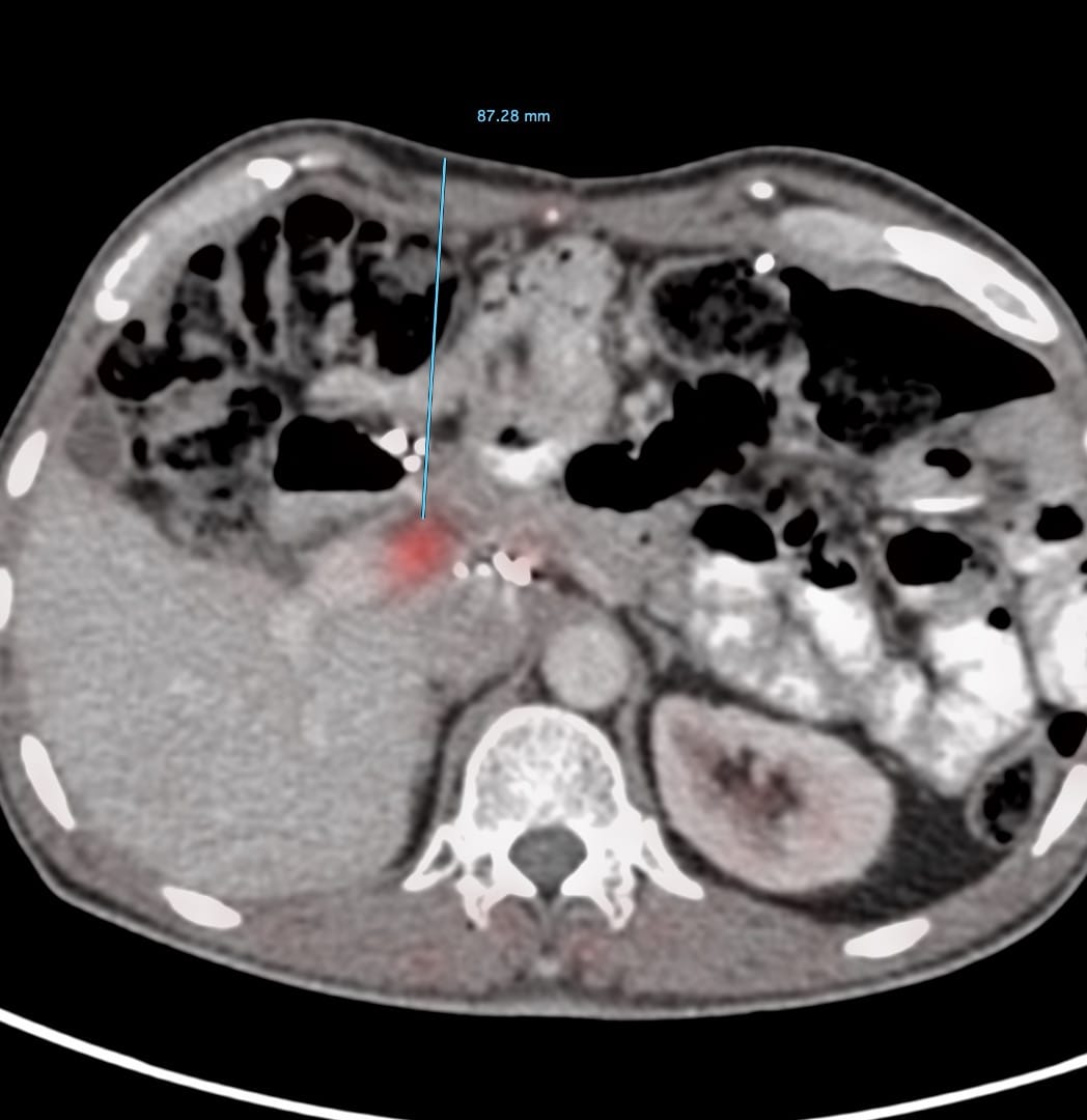
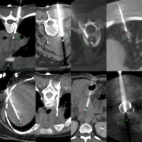
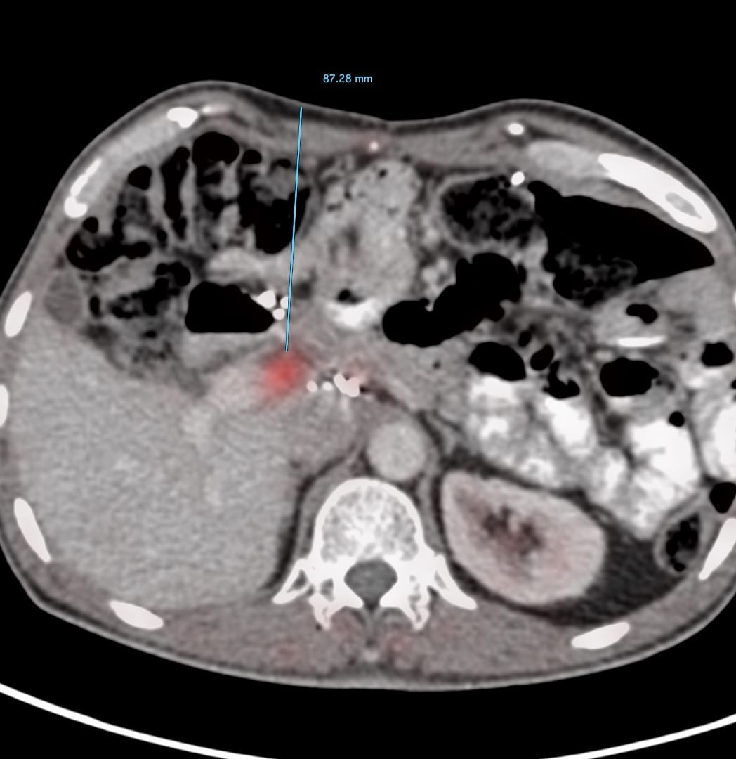
The video below describes the case. The biopsy was performed using multiple techniques, including the blunt-tip, the fixed-point methods and intra-procedural intravenous contrast.


