New Onetime Lifetime Subscription
Payment
To make the site more accessible, we have decided to remove the yearly subscription and keep only a one-time, lifetime payment to get access to all content at www.ctchestreview.com and www.ctbiopsy.com. These sites are linked and hence one payment gives access to both sites, but the

Live 03 - 19 Mar 2026 - Thursday 7 PM
Cases
CT Biopsy Live - 5 Cases from Feb 2026 - 19th March, 2026 - 7 PM
5 cases across different levels of difficulty discussed using the Osirix viewer...no Powerpoint

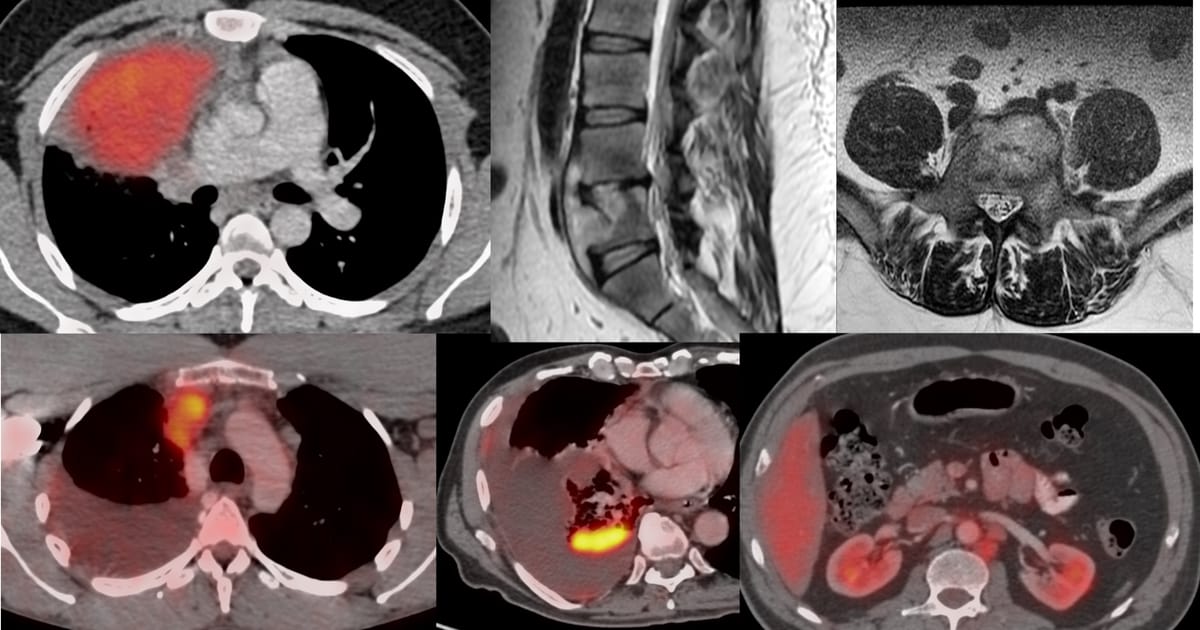
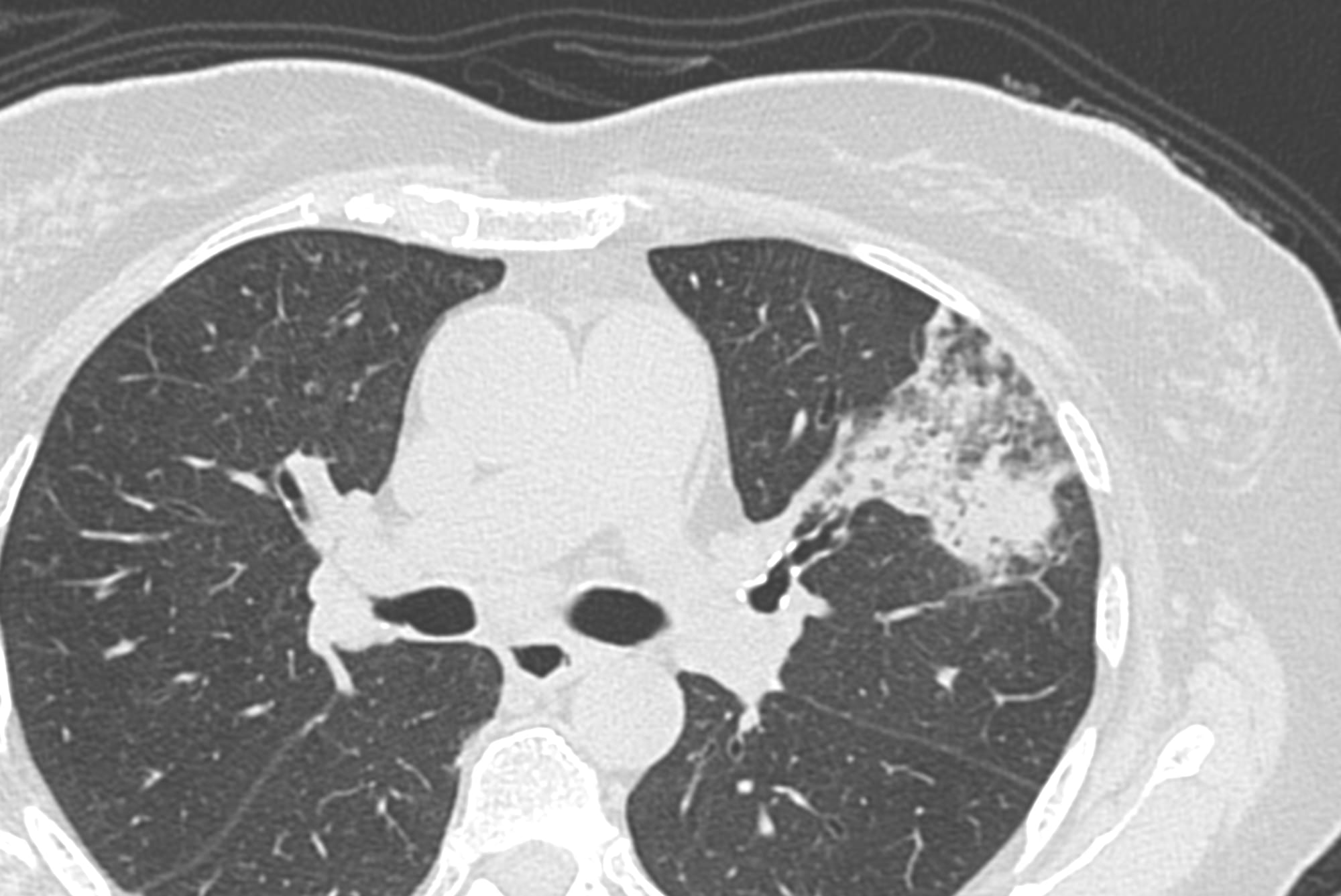
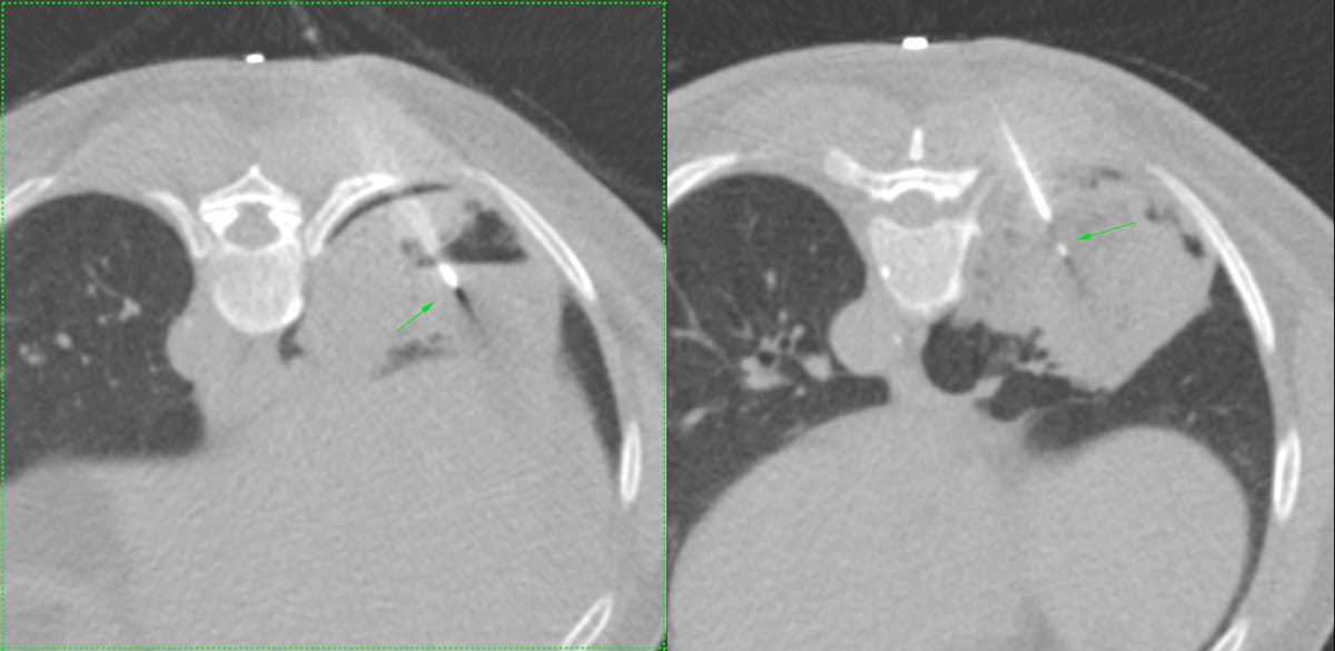
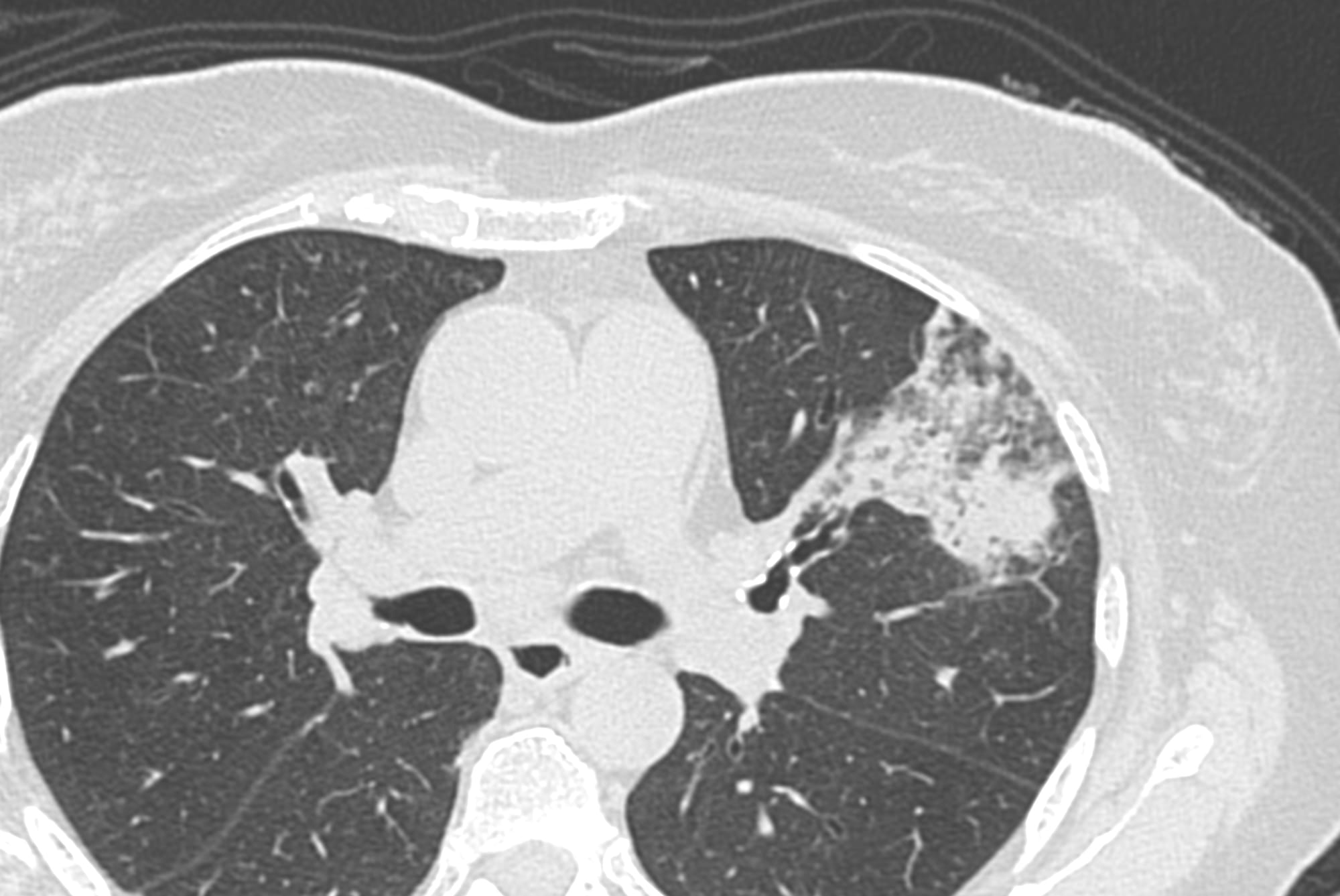
Current Case:
59-years old with fever and non-resolving consolidation

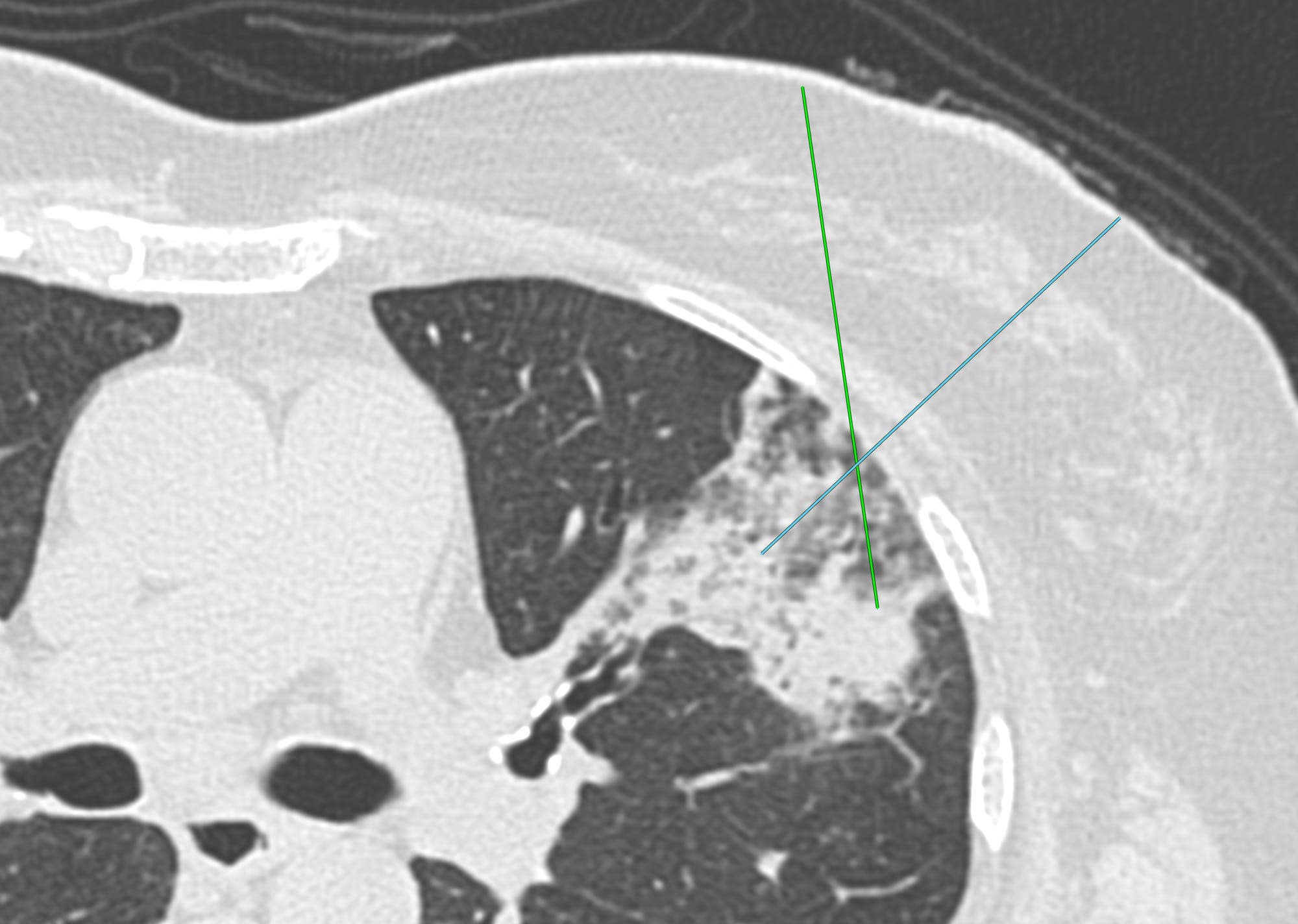
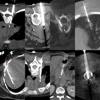
What would be your approach?

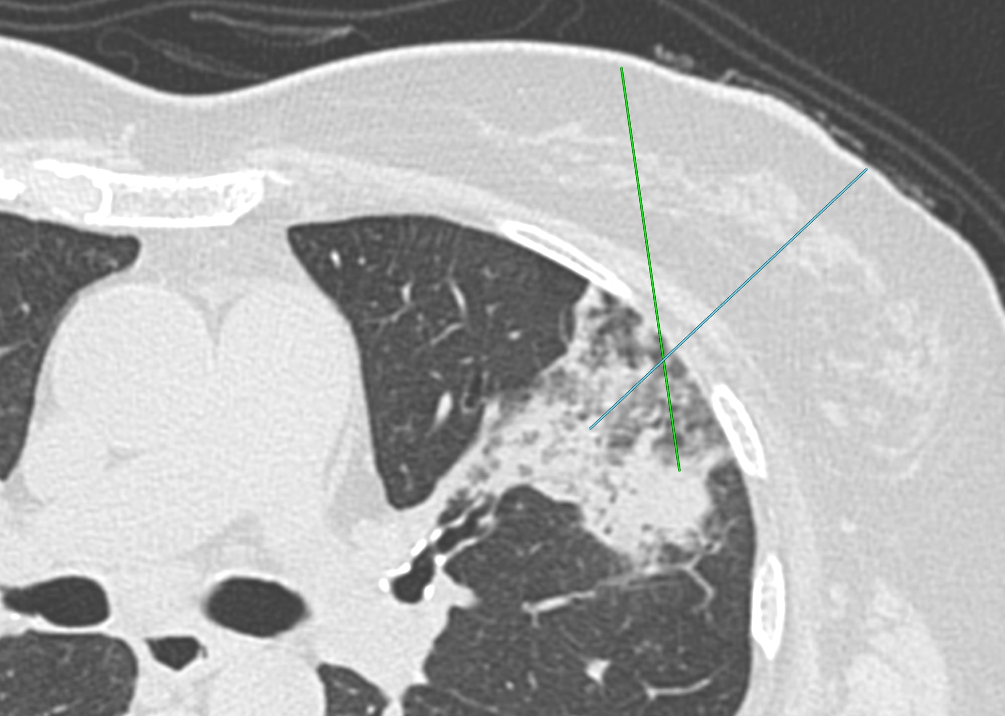
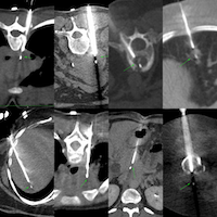
The video below describes the case and the reason for performing a biopsy parallel to the vessels and not perpendicular


