New Onetime Lifetime Subscription
Payment
To make the site more accessible, we have decided to remove the yearly subscription and keep only a one-time, lifetime payment to get access to all content at www.ctchestreview.com and www.ctbiopsy.com. These sites are linked and hence one payment gives access to both sites, but the

Not all cases need videos. Some can be explained with just images.
Current Case:
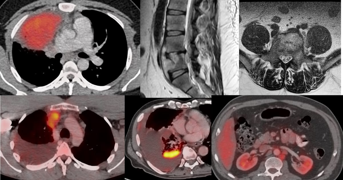
43-years old treated buccal ca had progressive lung and nodal lesions (arrow in to panel), stable liver lesions and a new S1 osteolytic lesion on PET (arrow in bottom panel) (Fig. 1).

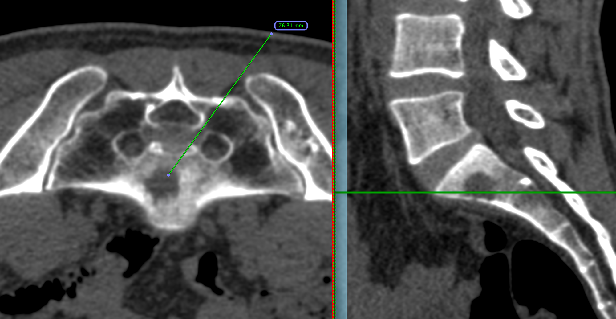
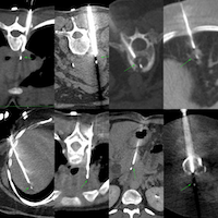
The patient was referred for a CT guided biopsy of the sacral lesion.

