Index and Table of Contents
174 Cases with Videos
3 Cases with Images
2 Snippets
5 Lectures
4 Cases of the Day (CODs)
Table of Contents
Table of Contents

New Onetime Lifetime Subscription
Payment
To make the site more accessible, we have decided to remove the yearly subscription and keep only a one-time, lifetime payment to get access to all content at www.ctchestreview.com and www.ctbiopsy.com. These sites are linked and hence one payment gives access to both sites, but the

Not all cases need videos. Some can be explained with just images.
Current Case:
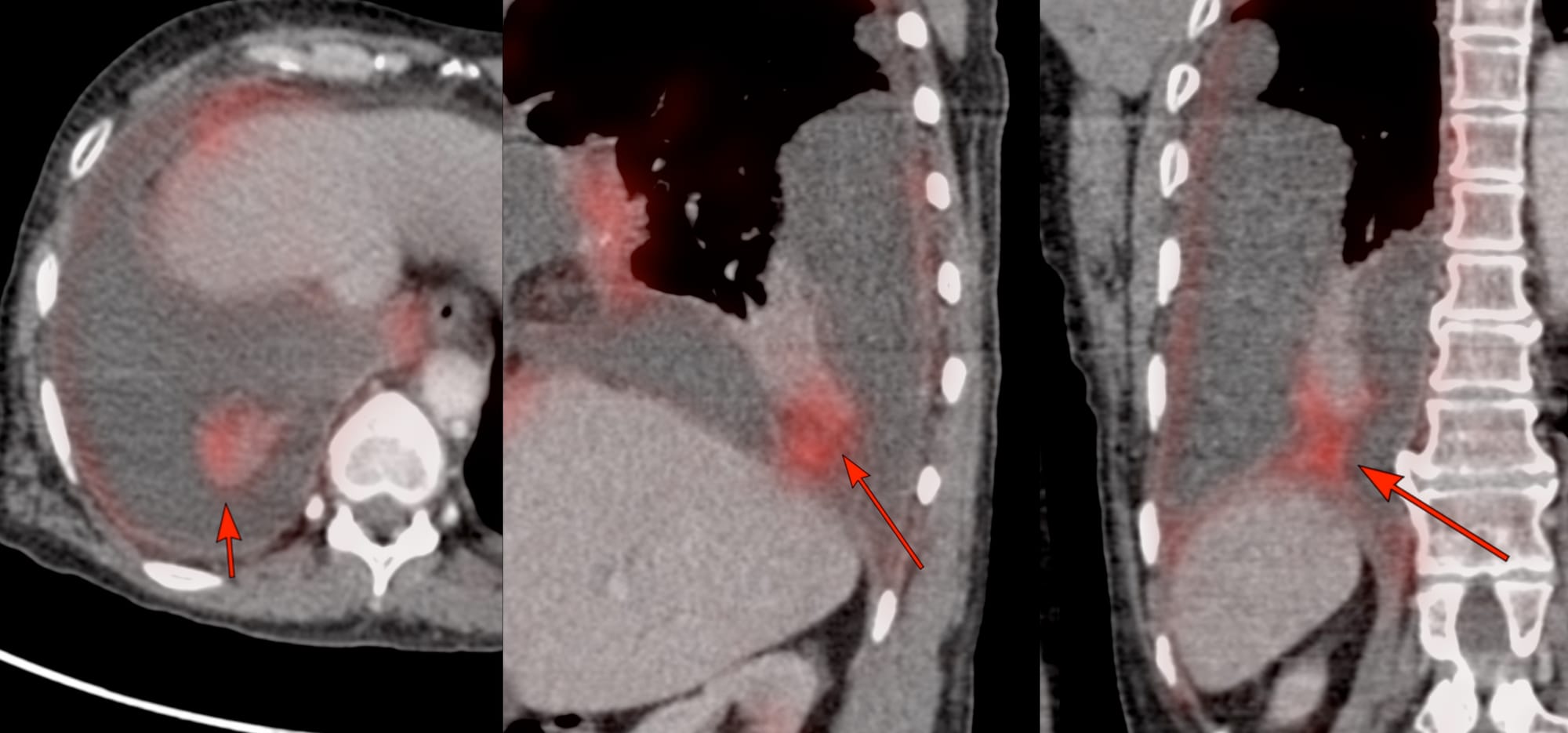
63-years old man had fever. X-ray and CT chest showed a pleural effusion.
PET/CT showed a focal lesion arising from the posterior basal segment of the right lower lobe attached to the visceral pleura (arrows in Fig 1).

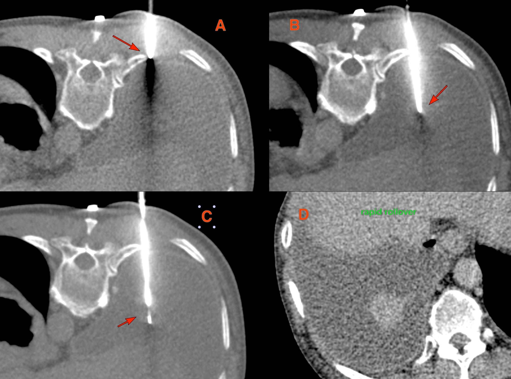
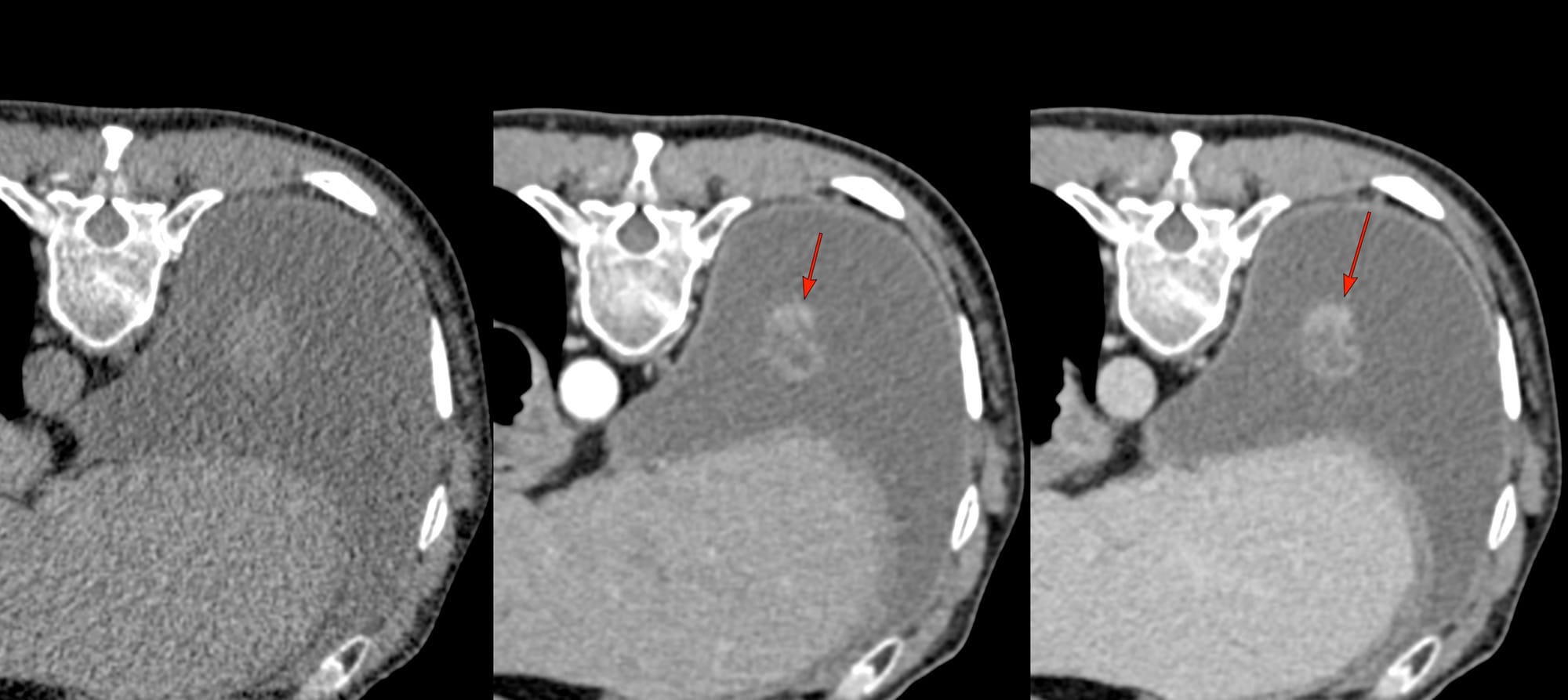
The patient was referred for a CT guided biopsy.

