New Onetime Lifetime Subscription
Payment
To make the site more accessible, we have decided to remove the yearly subscription and keep only a one-time, lifetime payment to get access to all content at www.ctchestreview.com and www.ctbiopsy.com. These sites are linked and hence one payment gives access to both sites, but the

Case:
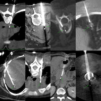
55-yrs old with an incidentally discovered multiloculated cystic lesion in the retroperitoneum was referred for a biopsy.
Milky white fluid was aspirated using a left parapsoas approach.
The video discusses the case, the diagnosis based on the appearance of the aspirate and two other similar cases.
Region: Retroperitoneum
Age: 55
Findings: Retroperitoneal multiloculated cyst
Lesion Biopsied: The same
Size of Lesion: -
Gun: 18G BARD, 20 mm throw, long
No of cores: Tried, but no solid cores, 35 cc of milky white fluid
Sedation: No
Position & Approach: Prone, blunt-tip
Time Taken (marker to wash-out): 10 mins
Complication: None
Level of Difficulty: 3/5
Diagnosis: Retroperitoneal macrocystic lymphatic malformation
Table of Contents and Other Spine Biopsies:
Table of Contents
Table of Contents

Previous Post:
Case of the Day 100 - 2025 09 10 - T2 Dark Thoracic Spinal Vertebral Lesion - Transpedicular Biopsy
Dorsal spine lesions can be easily biopsied using transpedicular, costovertebral and perivertebral approaches.



