New Onetime Lifetime Subscription

Case:
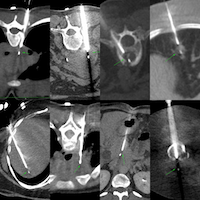
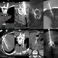
55-yrs old treated buccal ca with focal soft tissue and uptake on a follow-up PET in the left posterolateral maxillary sinus wall was referred for a CT guided biopsy.

What would be your approaches?

The video discusses the case and describes the procedure and goes through suprahyoid CT guided biopsies in general.

Video
Region: Suprahyoid Neck
Age: 55 yrs
Findings: Focal uptake posterolateral maxillary sinus wall
Lesion Biopsied: This lesion
Size of Lesion: Not relevant
Gun: 18G Cook, 10 mm throw, short
No of cores: 6 for histopath
Sedation: No
Position & Approach: Rt lateral decubitus, straight down, infrazygomatic
Time Taken (marker to wash-out): 7 mins
Complication: None
Level of Difficulty: 3/5
Diagnosis: Squamous cell carcinoma, recurrence
Table of Contents and Other Suprahyoid Neck Biopsies:

Previous Post:




