CT Guided Biopsy
Understanding, learning and discussing CT guided biopsies and ablations
  • Home
  • About Me & This Site
  • Payment
  • Table of Contents
  • Tags
  • Levels of Difficulty
  • CT Chest Review
  • Search
  • Log In
  • Subscribe
  • RSS
© 2026 CT Guided Biopsy - Published with Ghost

4/5

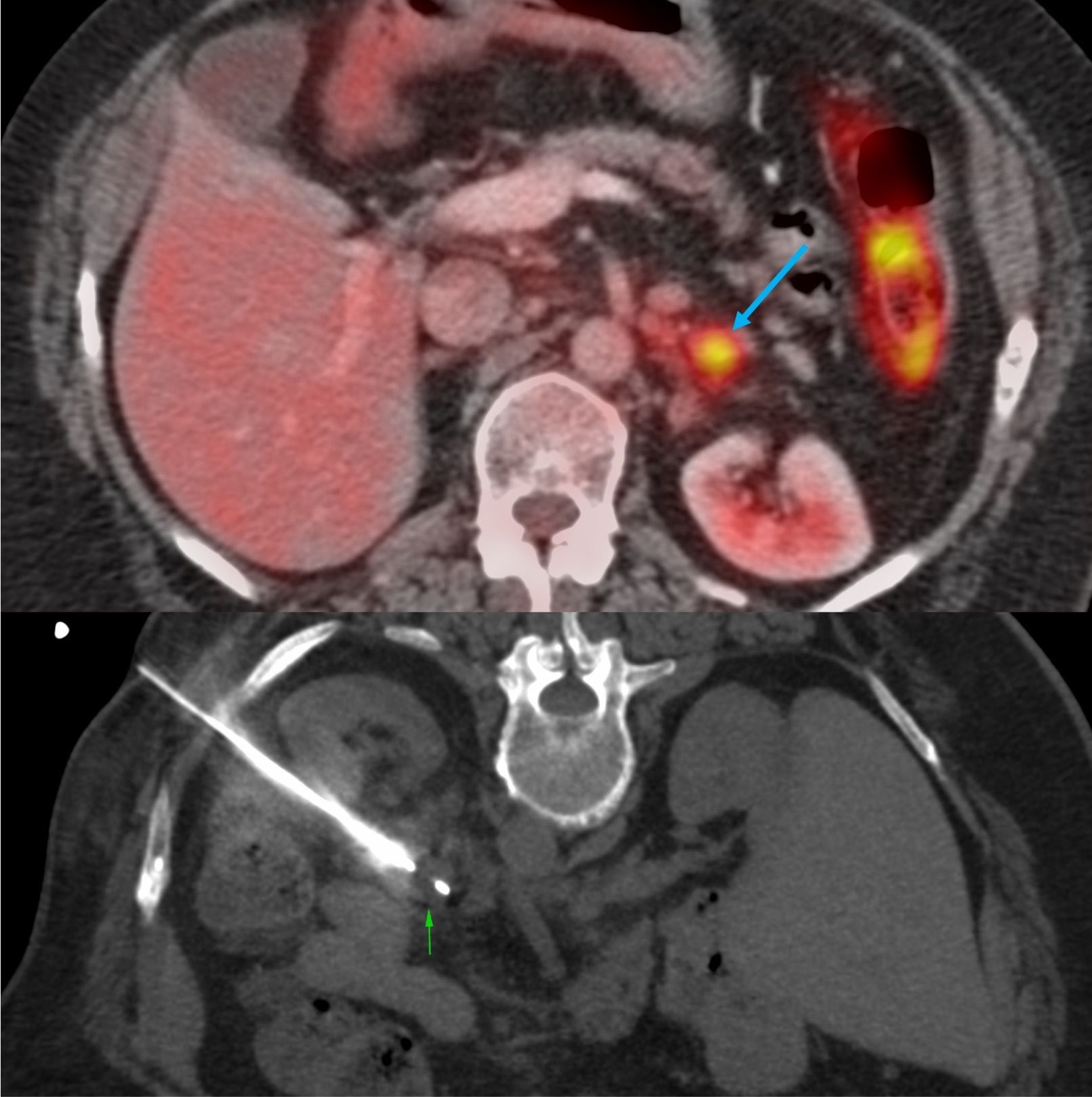
Case 22: 70-Years Lady with a Left Adrenal Nodule - Prone Posterolateral Approach
Bhavin Jankharia - 12 April 2021

Case 22: 70-Years Lady with a Left Adrenal Nodule - Prone Posterolateral Approach

Case 20: 2.1 cm Renal Mass Biopsy
Bhavin Jankharia - 06 April 2021

Case 20: 2.1 cm Renal Mass Biopsy

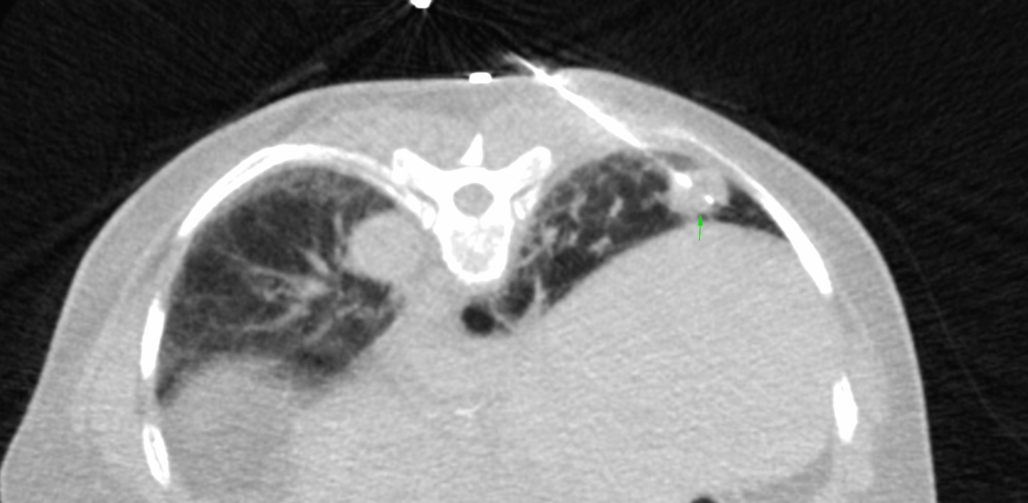
Case 17: 15 mm Lung Nodule Biopsy - Multiple Lung Nodules
Bhavin Jankharia - 28 March 2021

Case 17: 15 mm Lung Nodule Biopsy - Multiple Lung Nodules

Case 15: UIP IPF with a Superimposed Lung Nodule
Bhavin Jankharia - 22 March 2021

Case 15: UIP IPF with a Superimposed Lung Nodule

Case 8: Respect the Lung - A Tale of Two Biopsies and Complications
Bhavin Jankharia - 01 March 2021

Case 8: Respect the Lung - A Tale of Two Biopsies and Complications

Case 2: Small lung nodule - 6-10 mm (7.8 mm)
Bhavin Jankharia - 07 February 2021

Case 2: Small lung nodule - 6-10 mm (7.8 mm)

Previous