CT Guided Biopsy
Understanding, learning and discussing CT guided biopsies and ablations
  • Home
  • About Me & This Site
  • Payment
  • Table of Contents
  • Tags
  • Levels of Difficulty
  • CT Chest Review
  • Search
  • Log In
  • Subscribe
  • RSS
© 2026 CT Guided Biopsy - Published with Ghost

Contrast

Case 89: Biopsy of Retroperitoneal Fibrosis
Bhavin Jankharia - 23 April 2022

Case 89: Biopsy of Retroperitoneal Fibrosis

Case 42: Complex Retroperitoneal Mass with Intra-Procedural Intravenous Contrast
Bhavin Jankharia - 17 June 2021

Case 42: Complex Retroperitoneal Mass with Intra-Procedural Intravenous Contrast

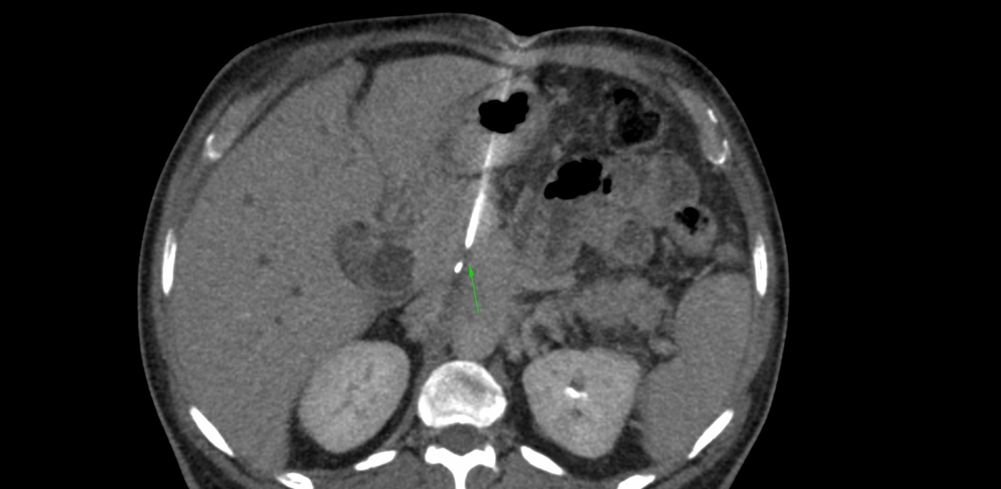
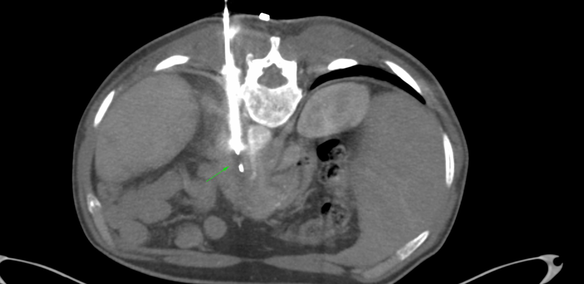
Case 6: Mass in the Uncinate Process of Pancreas
Bhavin Jankharia - 23 February 2021

Case 6: Mass in the Uncinate Process of Pancreas