CT Guided Biopsy
Understanding, learning and discussing CT guided biopsies and ablations
  • Home
  • About Me & This Site
  • Payment
  • Table of Contents
  • Tags
  • Levels of Difficulty
  • CT Chest Review
  • Search
  • Log In
  • Subscribe
  • RSS
© 2026 CT Guided Biopsy - Published with Ghost

CVJ

Live Session - Discussion of Jan 2026 Cases
Bhavin Jankharia - 03 March 2026

Live Session - Discussion of Jan 2026 Cases

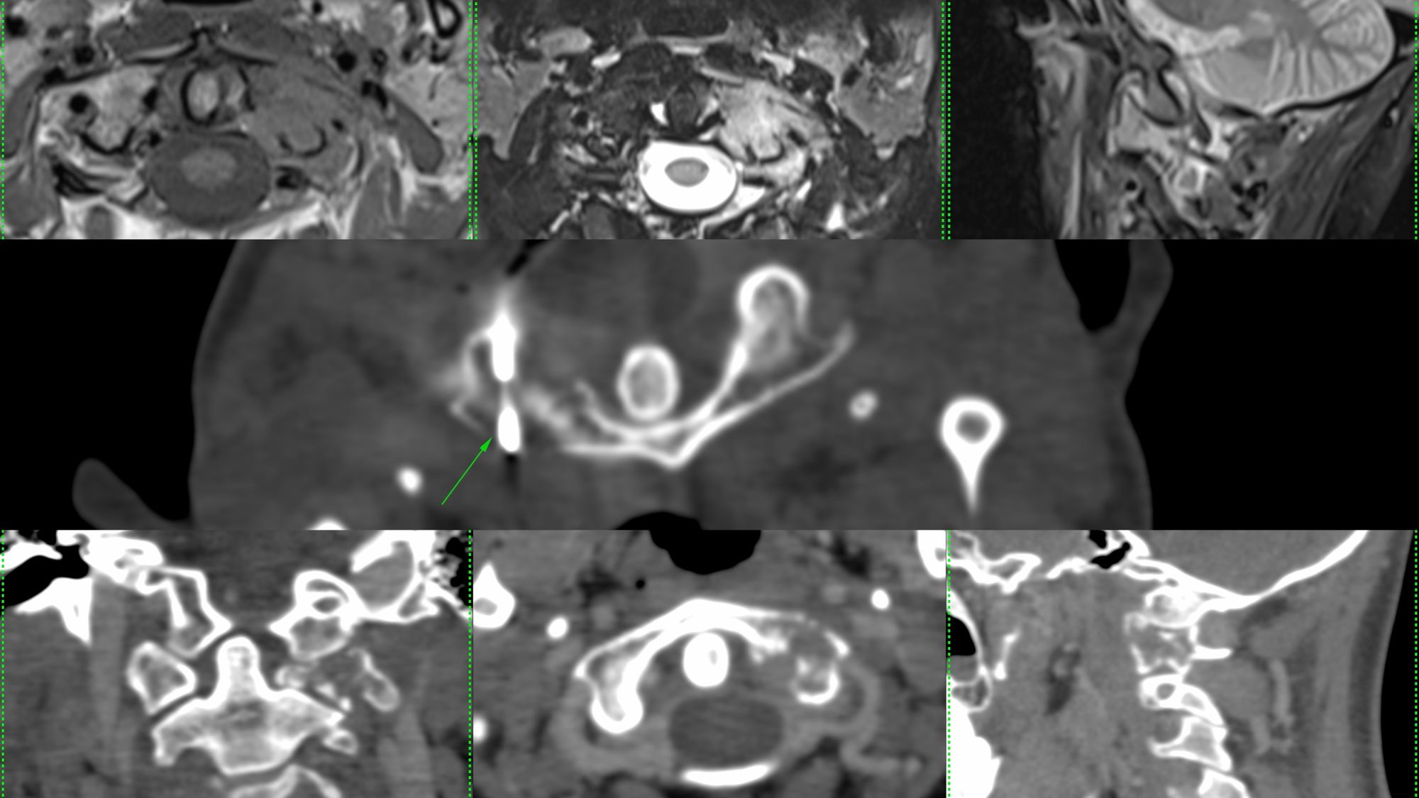
Case 55: C1 Lateral Mass Biopsy Using a Posterior Approach
Bhavin Jankharia - 20 August 2021

Case 55: C1 Lateral Mass Biopsy Using a Posterior Approach