CT Guided Biopsy
Understanding, learning and discussing CT guided biopsies and ablations
  • Home
  • About Me & This Site
  • Payment
  • Table of Contents
  • Tags
  • Levels of Difficulty
  • CT Chest Review
  • Search
  • Log In
  • Subscribe
  • RSS
© 2026 CT Guided Biopsy - Published with Ghost

Osteoid Osteoma

Lecture: Osteoid Osteomas - Treatment Methods Focussing on Radiofrequency Ablation (RFAs)
Bhavin Jankharia - 13 June 2023

Lecture: Osteoid Osteomas - Treatment Methods Focussing on Radiofrequency Ablation (RFAs)

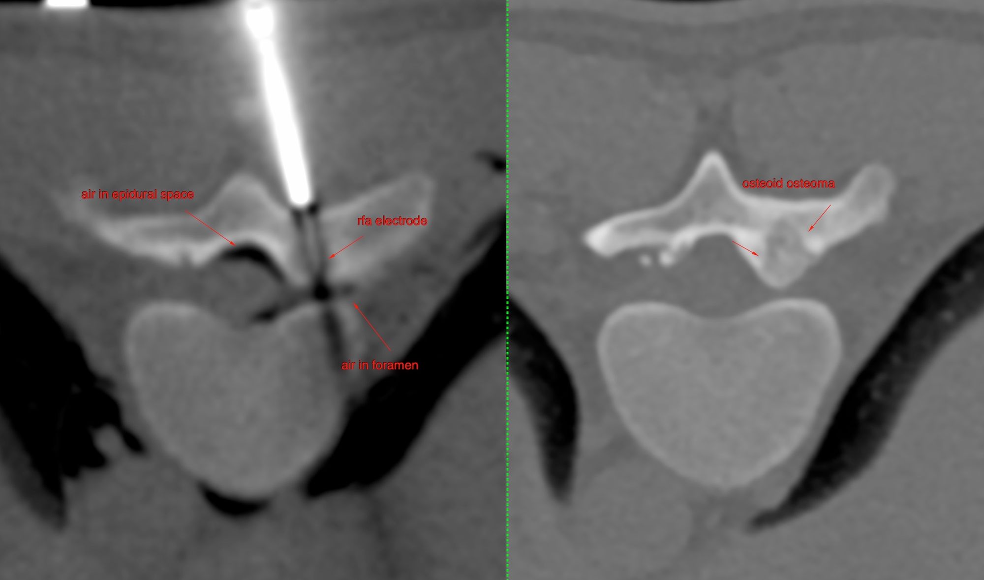
Case 40: Radiofrequency Ablation (RFA) of D10 Pars Osteoid Osteoma
Bhavin Jankharia - 05 June 2021

Case 40: Radiofrequency Ablation (RFA) of D10 Pars Osteoid Osteoma

Case 7: Radiofrequency Ablation (RFA) - Tibial Osteoid Osteoma
Bhavin Jankharia - 26 February 2021

Case 7: Radiofrequency Ablation (RFA) - Tibial Osteoid Osteoma