CT Guided Biopsy
Understanding, learning and discussing CT guided biopsies and ablations
  • Home
  • About Me & This Site
  • Payment
  • Table of Contents
  • Tags
  • Levels of Difficulty
  • CT Chest Review
  • Search
  • Log In
  • Subscribe
  • RSS
© 2026 CT Guided Biopsy - Published with Ghost

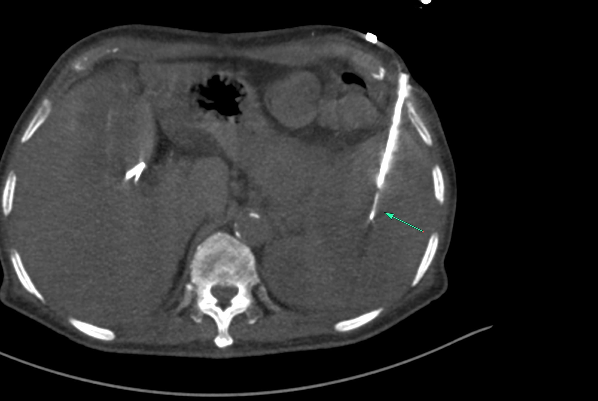
Spleen

Case 171 - Splenic Mass Biopsy
Bhavin Jankharia - 04 December 2025

Case 171 - Splenic Mass Biopsy

Case 115: Splenic Lesion Biopsy
Bhavin Jankharia - 23 January 2023

Case 115: Splenic Lesion Biopsy