CT Guided Biopsy
Understanding, learning and discussing CT guided biopsies and ablations
  • Home
  • About Me & This Site
  • Payment
  • Table of Contents
  • Tags
  • Levels of Difficulty
  • CT Chest Review
  • Search
  • Log In
  • Subscribe
  • RSS
© 2026 CT Guided Biopsy - Published with Ghost

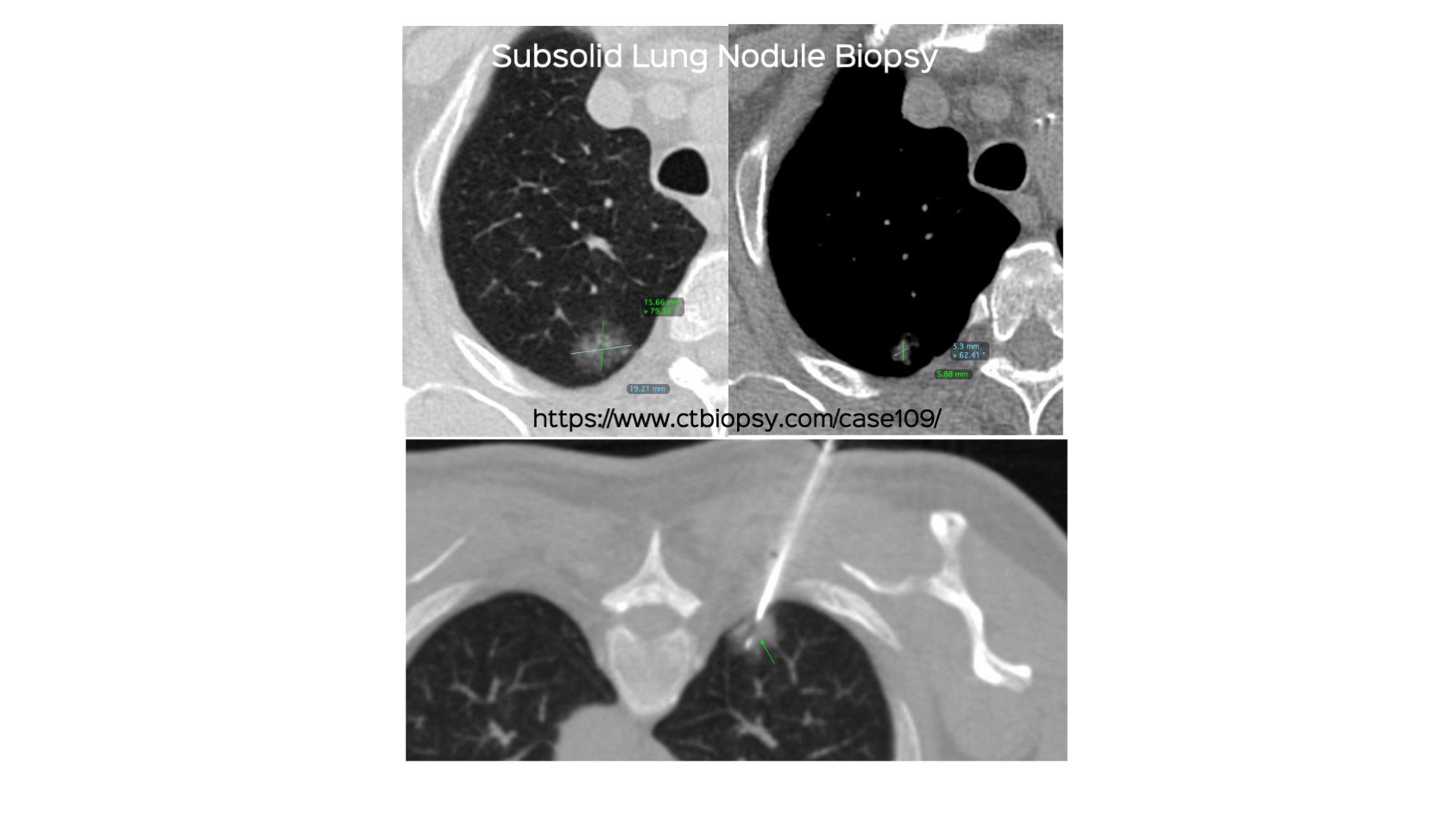
Subsolid Nodule

Case 109: Subsolid Lung Nodule Biopsy
Bhavin Jankharia - 09 November 2022

Case 109: Subsolid Lung Nodule Biopsy