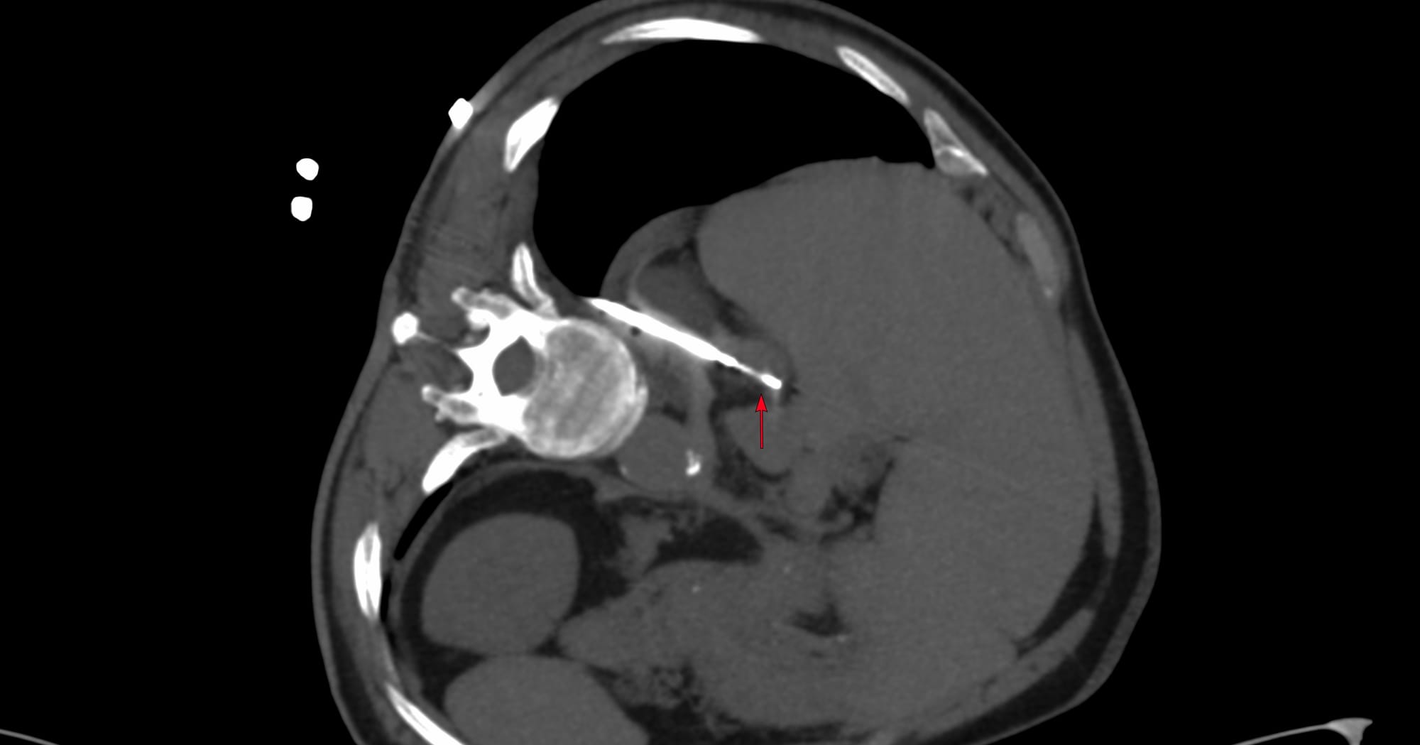
I will be discussing these 7 biopsy cases from Dec 2025, across different levels of difficulty.
Here is the link to join
Here is a video of the 7 cases that I am going to discuss.
The discussion will be done using Osirix and not Powerpoint, so that it is easy to move between cases and answer questions.
The cases were discussed and here is the link to the final video of the livestream.
YouTube Live Session - CT Guided Biopsy Cases from December 2025
7 cases of different levels of difficulty discussed live on 08 Jan 2026


