Table of Contents
Table of Contents
Table of Contents

Previous Case & Previous Lecture:
Lecture: Approach to MSK Biopsies
This lecture discusses the approach to MSK predominantly bone biopsies

Case 134: Aortocaval Node Biopsy
Aortocaval nodes can be biopsied using anterior, posterior and decubitus approaches

Current Case:
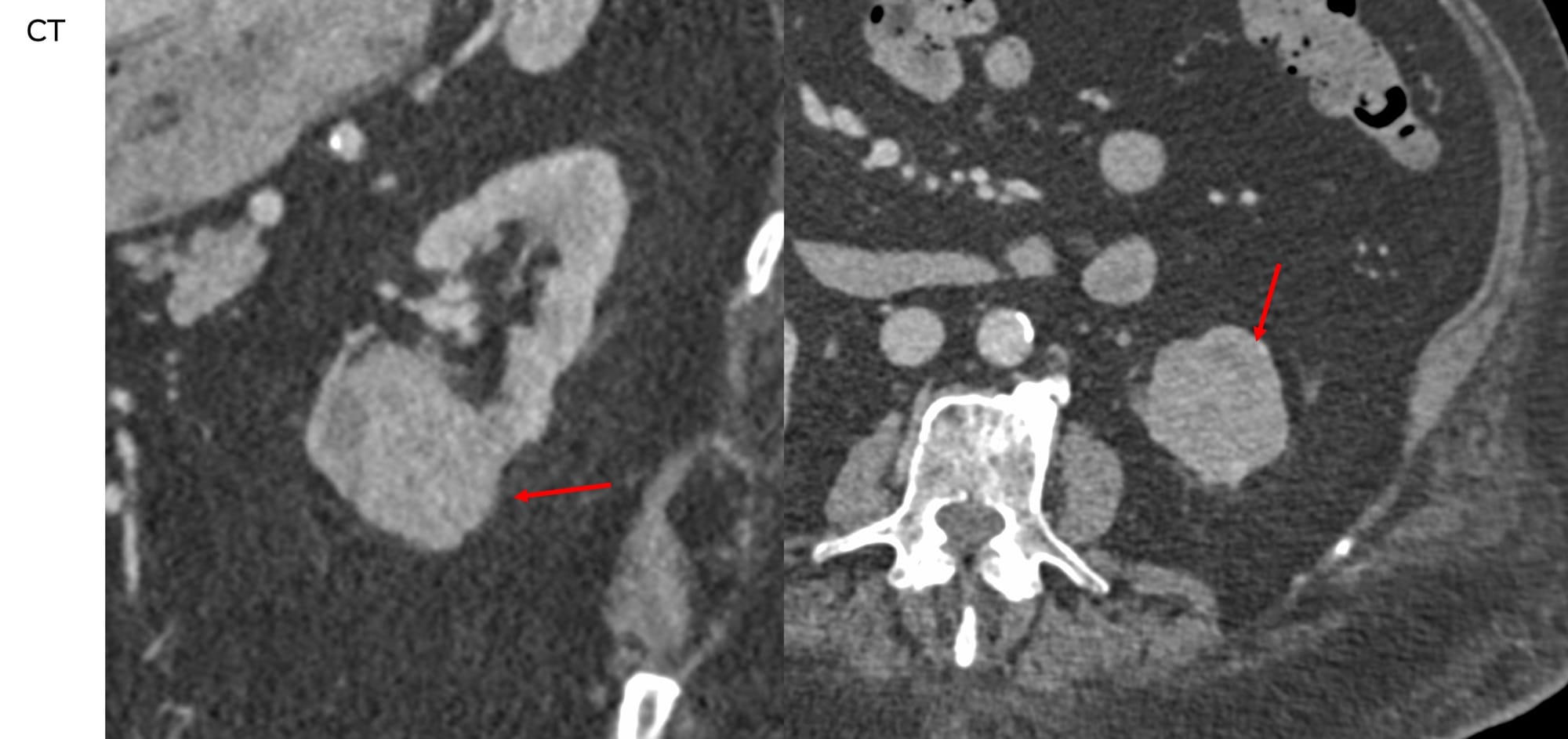
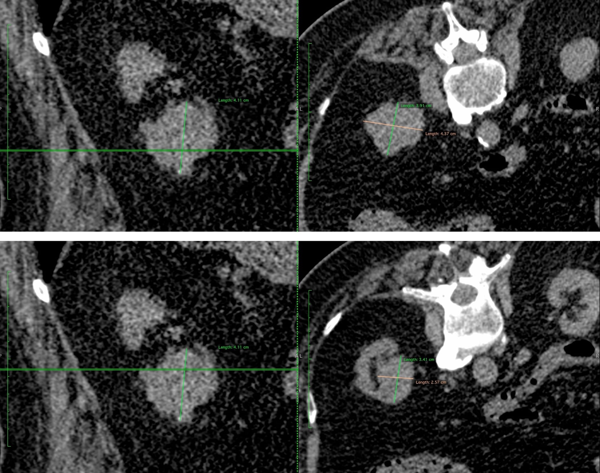
A 75-years old man with multiple comorbidities had a solid renal neoplasm > 4 cm. He and his family decided to go ahead with cryoablation after sifting through all possible options with their urologist and oncologist.

Since this is a > 4 cm lesion, two ablations had to be done, one inferiorly and one superiorly as this plan shows.

Please click on the Subscribe button below to see the video describing the case, the plan, the procedure and the final outcome with a short discussion on cryoablation in renal and other lesions.

