New Onetime Lifetime Subscription
Payment
To make the site more accessible, we have decided to remove the yearly subscription and keep only a one-time, lifetime payment to get access to all content at www.ctchestreview.com and www.ctbiopsy.com. These sites are linked and hence one payment gives access to both sites, but the

Current Case:
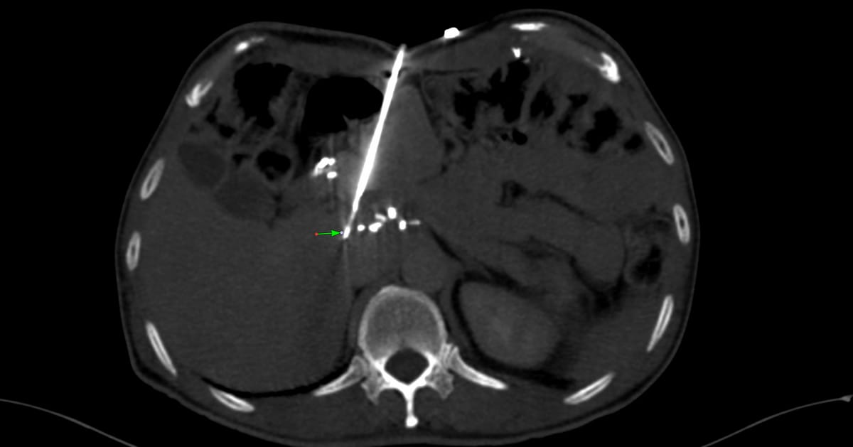
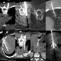
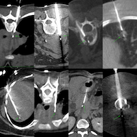
63-years old, CKD on dialysis for 4 years developed bilateral chylothoraces 3 months ago and was referred for a CT lymphangiogram (CTL)
While there are different ways of doing lymphangiograms, a relatively new technique is CTL with intranodal injection of non-ionic iodinated contrast and rapid scanning within 2-5 minutes.
The video explains what I did - injecting a retroperitoneal node in the prone position instead of an inguinal node with a successful CTL showing lymphatic duct obstruction at the D5-6 level.
The paradigm has changed. This procedure is now simple and can be performed by anyone who can put a needle into a node proximal to the site of obstruction with intranodal injectino of regular non-ionic iodinated contrast.
Table of Contents and Other Adrenal Gland Biopsies Biopsies
Table of Contents
Table of Contents

Previous Posts:
Live Session - Discussion of Jan 2026 Cases
In this live session, I discussed 6 cases showing how I did the biopsies and answered questions from the attendees

Case 173 - Periportal Node Biopsy in a Post-Whipple’s Abdomen - The Power of a Blunt-Tip Needle
Sometimes a difficult lesion needs a combination of techniques as in this patient with a small periportal node following Whipple’s where the blunt-tip technique was used with a fixed-point method and intraprocedural intravenous contrast.




