I will be discussing these 5 CT guided biopsy cases from Feb 2026, across different levels of difficulty.
Even if you are not interested in the biopsy part, the cases themselves are interesting with a diagnosis at the end (because we've done a biopsy) and it may be worthwhile just attending for the cases.
Here is the link to join

The Cases
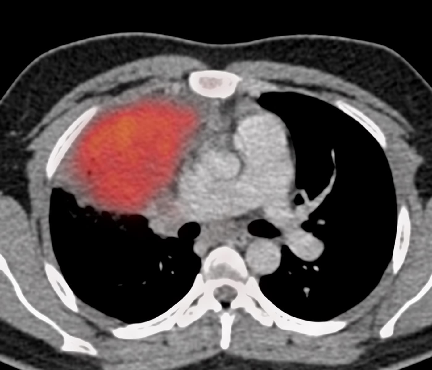
Case 14: 24-years old with fever and a non-resolving right upper lobe mass-like consolidation

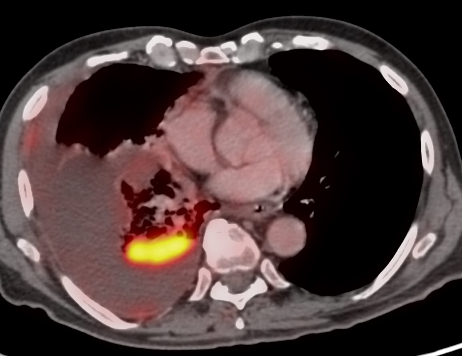
Case 15: 71-years old 40-plus pack years history smoker with non-resolving pleural effusion and an opacity in the right lower lobe

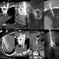
Case 16: 32-years old with fever, backache and an L4/5 lesion

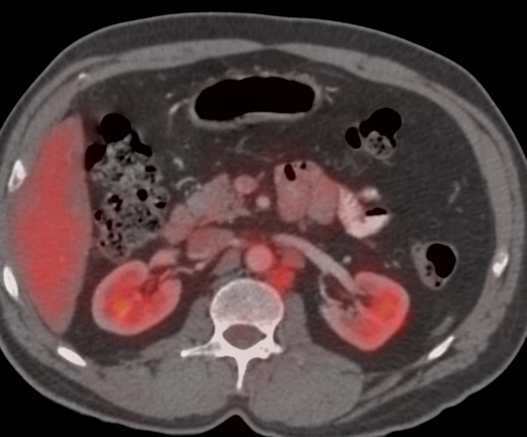
Case 17: 56-years old treated for Ca esophagus had new retroperitoneal para-aortic nodes on PET

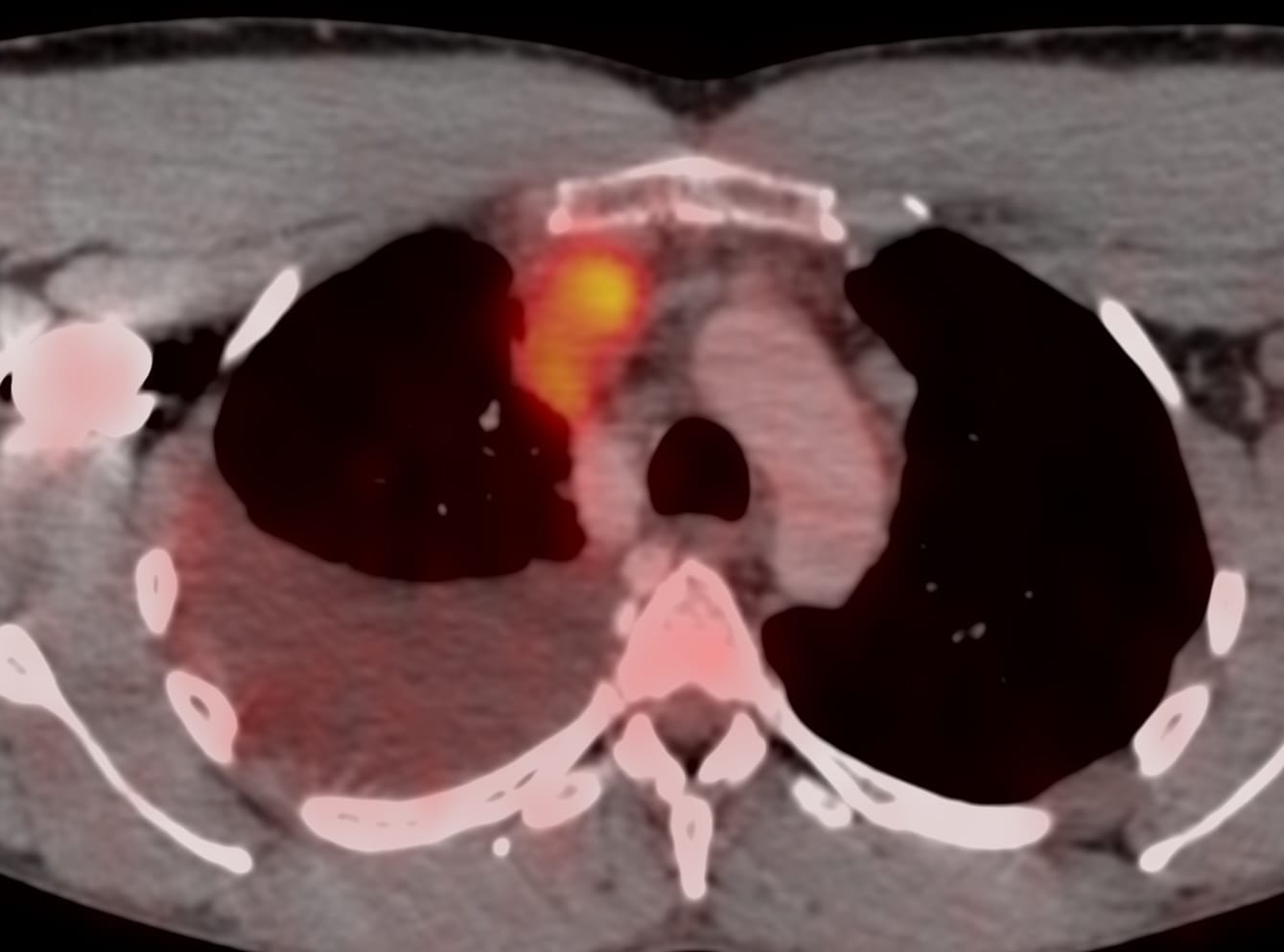
Case 18: 31-years old with chest pain and SVC syndrome

Discussion
- Description of case
- Pre-test probable diagnosis
- Planning of the biopsy
- How it was done
- Materials used
- Complications if any
- Final diagnosis
The discussion will be done using Osirix and not Powerpoint, so that it is easy to move between cases and answer questions.
These are the first two sessions done as YouTube Live Sessions




