CT Guided Biopsy
Understanding, learning and discussing CT guided biopsies and ablations
  • Home
  • About Me & This Site
  • Payment
  • Table of Contents
  • Tags
  • Levels of Difficulty
  • CT Chest Review
  • Search
  • Log In
  • Subscribe
  • RSS
© 2026 CT Guided Biopsy - Published with Ghost
Case 92: Esophageal Mass Biopsy
Bhavin Jankharia - 15 May 2022

Case 92: Esophageal Mass Biopsy

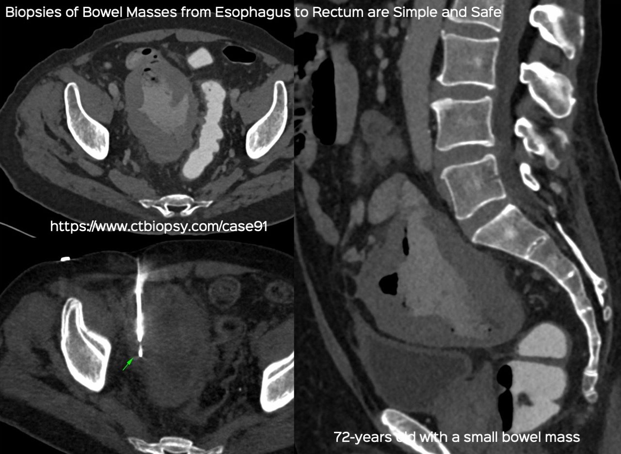
Case 91: Small Bowel Mass Biopsy
Bhavin Jankharia - 08 May 2022

Case 91: Small Bowel Mass Biopsy

Case 90: Bending the Needle - Curved Needle Technique for an 18.4 mm Left Adrenal Nodule Biopsy
Bhavin Jankharia - 30 April 2022

Case 90: Bending the Needle - Curved Needle Technique for an 18.4 mm Left Adrenal Nodule Biopsy

Case 89: Biopsy of Retroperitoneal Fibrosis
Bhavin Jankharia - 23 April 2022

Case 89: Biopsy of Retroperitoneal Fibrosis

Case 88: Transiliopsoas Route for Iliac Bifurcation Node Biopsy
Bhavin Jankharia - 16 April 2022

Case 88: Transiliopsoas Route for Iliac Bifurcation Node Biopsy

Case 87: Intra-Lesional Steroid Injection in Langerhans Cell Histiocytosis
Bhavin Jankharia - 09 April 2022

Case 87: Intra-Lesional Steroid Injection in Langerhans Cell Histiocytosis

Case 86: Every Young Infectious Spondylitis is not Tuberculosis: Geography Matters
Bhavin Jankharia - 02 April 2022

Case 86: Every Young Infectious Spondylitis is not Tuberculosis: Geography Matters

Case 85: Don't Forget Fungal Culture - Biopsy of a Post-Fusion Surgery Spine
Bhavin Jankharia - 28 March 2022

Case 85: Don't Forget Fungal Culture - Biopsy of a Post-Fusion Surgery Spine

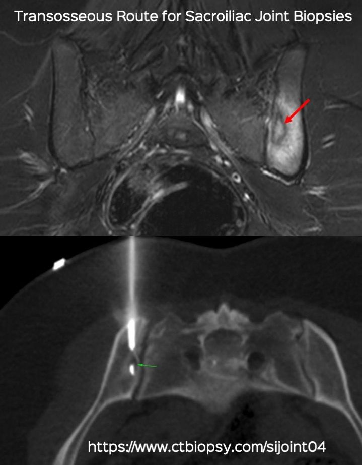
Case 84: Transosseous Route for Sacroiliac Joint Biopsy
Bhavin Jankharia - 21 March 2022

Case 84: Transosseous Route for Sacroiliac Joint Biopsy

Case 83: Angulation to Avoid Pulmonary Vessels
Bhavin Jankharia - 12 March 2022

Case 83: Angulation to Avoid Pulmonary Vessels

Case 82: Displacing Bowel
Bhavin Jankharia - 06 March 2022

Case 82: Displacing Bowel

Case 81: The Power of Gantry Angulation
Bhavin Jankharia - 26 February 2022

Case 81: The Power of Gantry Angulation

Previous
Next