CT Guided Biopsy
Understanding, learning and discussing CT guided biopsies and ablations
  • Home
  • About Me & This Site
  • Payment
  • Table of Contents
  • Tags
  • Levels of Difficulty
  • CT Chest Review
  • Search
  • Log In
  • Subscribe
  • RSS
© 2026 CT Guided Biopsy - Published with Ghost
Case 9: Pediatric Distal Radius Lesion Biopsy
Bhavin Jankharia - 04 March 2021

Case 9: Pediatric Distal Radius Lesion Biopsy

Case 8: Respect the Lung - A Tale of Two Biopsies and Complications
Bhavin Jankharia - 01 March 2021

Case 8: Respect the Lung - A Tale of Two Biopsies and Complications

Case 7: Radiofrequency Ablation (RFA) - Tibial Osteoid Osteoma
Bhavin Jankharia - 26 February 2021

Case 7: Radiofrequency Ablation (RFA) - Tibial Osteoid Osteoma

Case 6: Mass in the Uncinate Process of Pancreas
Bhavin Jankharia - 23 February 2021

Case 6: Mass in the Uncinate Process of Pancreas

Case 5: Peritoneal & Omental Masses
Bhavin Jankharia - 20 February 2021

Case 5: Peritoneal & Omental Masses

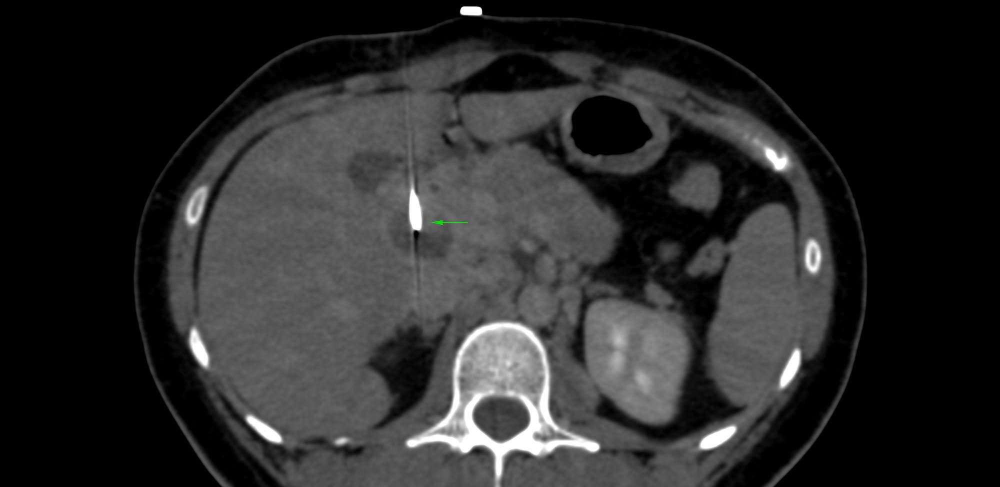
Case 4: Necrotic Portal Node, 2.9 cm
Bhavin Jankharia - 15 February 2021

Case 4: Necrotic Portal Node, 2.9 cm

Do No Harm
Bhavin Jankharia - 12 February 2021

Do No Harm

Case 3: Multifocal spine lesions - infectious spondylitis, likely tuberculosis
Bhavin Jankharia - 09 February 2021

Case 3: Multifocal spine lesions - infectious spondylitis, likely tuberculosis

Procedure Demo - Instruments to Complications
Bhavin Jankharia - 07 February 2021

Procedure Demo - Instruments to Complications

Case 2: Small lung nodule - 6-10 mm (7.8 mm)
Bhavin Jankharia - 07 February 2021

Case 2: Small lung nodule - 6-10 mm (7.8 mm)

Article Review 1: CT Guided Retroperitoneal Lesion Biopsy
Bhavin Jankharia - 04 February 2021

Article Review 1: CT Guided Retroperitoneal Lesion Biopsy

Lecture 1: The Art and Science of Mediastinal Node Biopsies
Bhavin Jankharia - 04 February 2021

Lecture 1: The Art and Science of Mediastinal Node Biopsies

Previous
Next