CT Guided Biopsy
Understanding, learning and discussing CT guided biopsies and ablations
  • Home
  • About Me & This Site
  • Payment
  • Table of Contents
  • Tags
  • Levels of Difficulty
  • CT Chest Review
  • Search
  • Log In
  • Subscribe
  • RSS
© 2026 CT Guided Biopsy - Published with Ghost
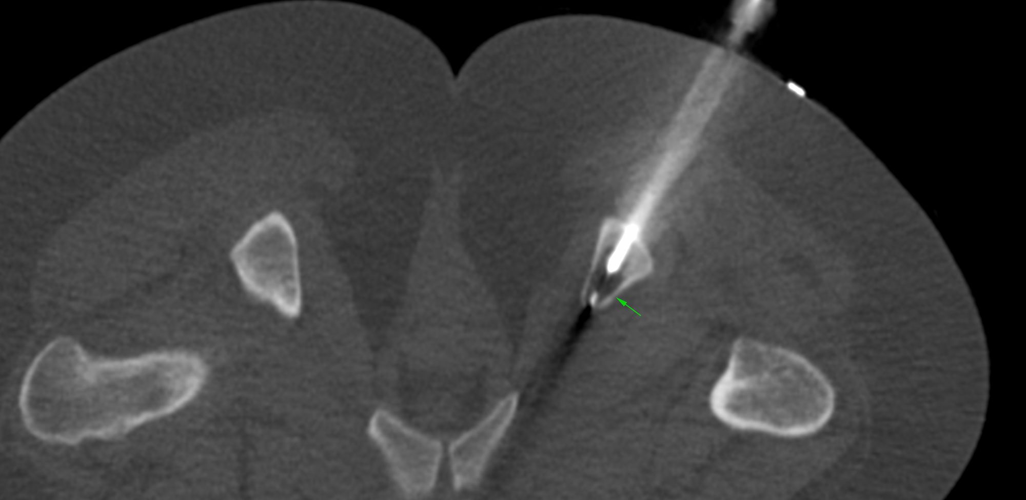
Case 21: 11.6 mm Adrenal Nodule Biopsy in the Ipsilateral Decubitus Position
Bhavin Jankharia - 09 April 2021

Case 21: 11.6 mm Adrenal Nodule Biopsy in the Ipsilateral Decubitus Position

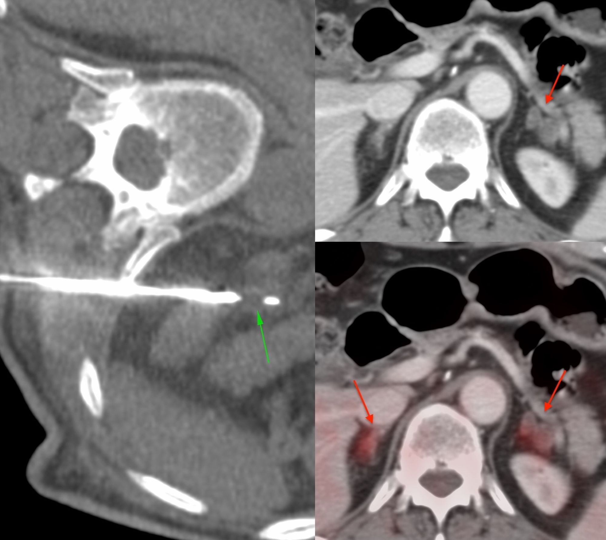
Case 20: 2.1 cm Renal Mass Biopsy
Bhavin Jankharia - 06 April 2021

Case 20: 2.1 cm Renal Mass Biopsy

Case 19: 5.6 cm Renal Mass Biopsy
Bhavin Jankharia - 03 April 2021

Case 19: 5.6 cm Renal Mass Biopsy

Case 18: Non-Resolving Consolidation Biopsy and Management of Entry Pneumothorax
Bhavin Jankharia - 31 March 2021

Case 18: Non-Resolving Consolidation Biopsy and Management of Entry Pneumothorax

Case 17: 15 mm Lung Nodule Biopsy - Multiple Lung Nodules
Bhavin Jankharia - 28 March 2021

Case 17: 15 mm Lung Nodule Biopsy - Multiple Lung Nodules

Case 16: 4.8 mm Lung Nodule in a 11-Years Old
Bhavin Jankharia - 25 March 2021

Case 16: 4.8 mm Lung Nodule in a 11-Years Old

Case 15: UIP IPF with a Superimposed Lung Nodule
Bhavin Jankharia - 22 March 2021

Case 15: UIP IPF with a Superimposed Lung Nodule

Case 14: Manubrial Sternal Lesion Biopsy
Bhavin Jankharia - 19 March 2021

Case 14: Manubrial Sternal Lesion Biopsy

Case 13: Left Mixed Osteolytic-Osteosclerotic Glenoid Bone Lesion Biopsy
Bhavin Jankharia - 16 March 2021

Case 13: Left Mixed Osteolytic-Osteosclerotic Glenoid Bone Lesion Biopsy

Case 12: Right Iliac Bone Biopsy - Multifocal Bone Lesions
Bhavin Jankharia - 13 March 2021

Case 12: Right Iliac Bone Biopsy - Multifocal Bone Lesions

Case 11: D3 Spinal Transverse Process and Pedicle Biopsy
Bhavin Jankharia - 10 March 2021

Case 11: D3 Spinal Transverse Process and Pedicle Biopsy

Case 10: Right Ischial Tuberosity Lesion Biopsy
Bhavin Jankharia - 07 March 2021

Case 10: Right Ischial Tuberosity Lesion Biopsy

Previous
Next