CT Guided Biopsy
Understanding, learning and discussing CT guided biopsies and ablations
  • Home
  • About Me & This Site
  • Payment
  • Table of Contents
  • Tags
  • Levels of Difficulty
  • CT Chest Review
  • Search
  • Log In
  • Subscribe
  • RSS
© 2026 CT Guided Biopsy - Published with Ghost

Blunt Tip

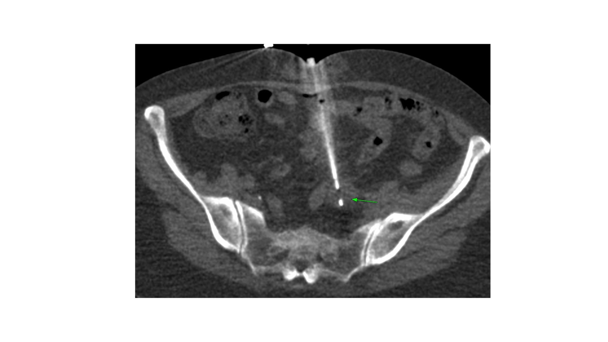
Case 164: Parting of the Bowel Loops with a Blunt-Tip
Bhavin Jankharia - 29 April 2025

Case 164: Parting of the Bowel Loops with a Blunt-Tip

Case 153: Narrow Window Pancreatic Lesion Biopsies with a Blunt Needle Tip
Bhavin Jankharia - 15 October 2024

Case 153: Narrow Window Pancreatic Lesion Biopsies with a Blunt Needle Tip