CT Guided Biopsy
Understanding, learning and discussing CT guided biopsies and ablations
  • Home
  • About Me & This Site
  • Payment
  • Table of Contents
  • Tags
  • Levels of Difficulty
  • CT Chest Review
  • Search
  • Log In
  • Subscribe
  • RSS
© 2026 CT Guided Biopsy - Published with Ghost

Mediastinum

Lecture 1: The Art and Science of Mediastinal Node Biopsies
Bhavin Jankharia - 04 February 2021

Lecture 1: The Art and Science of Mediastinal Node Biopsies

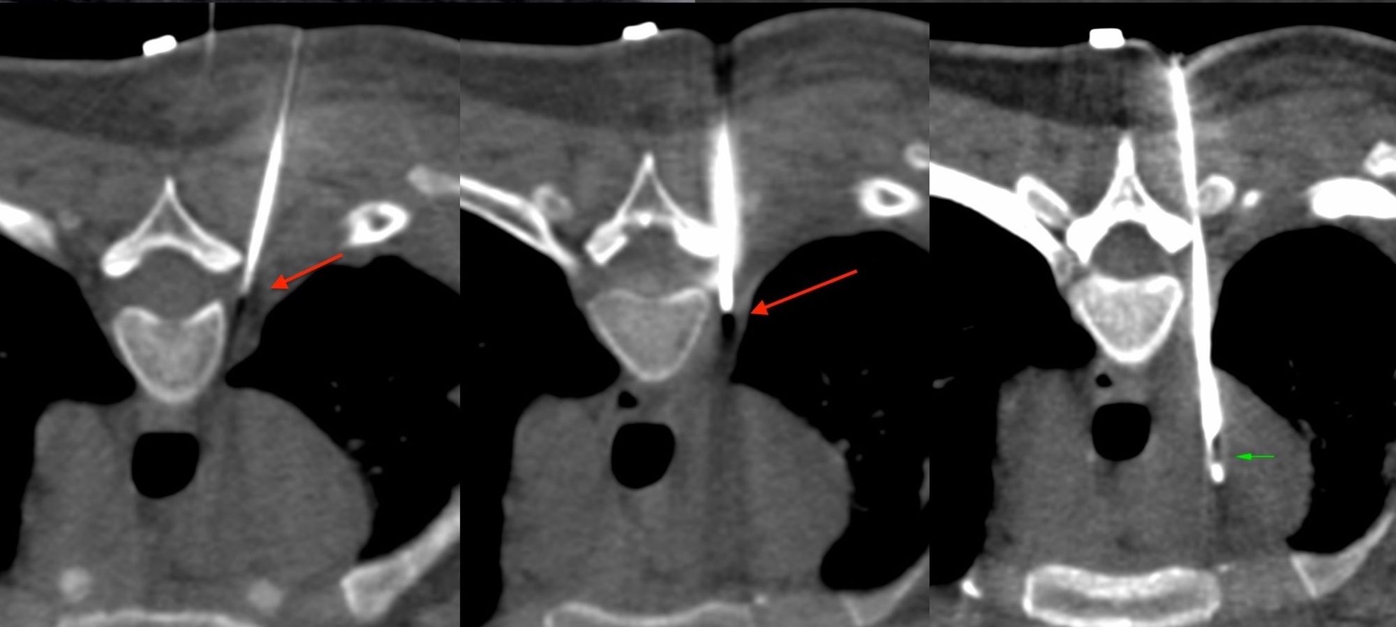
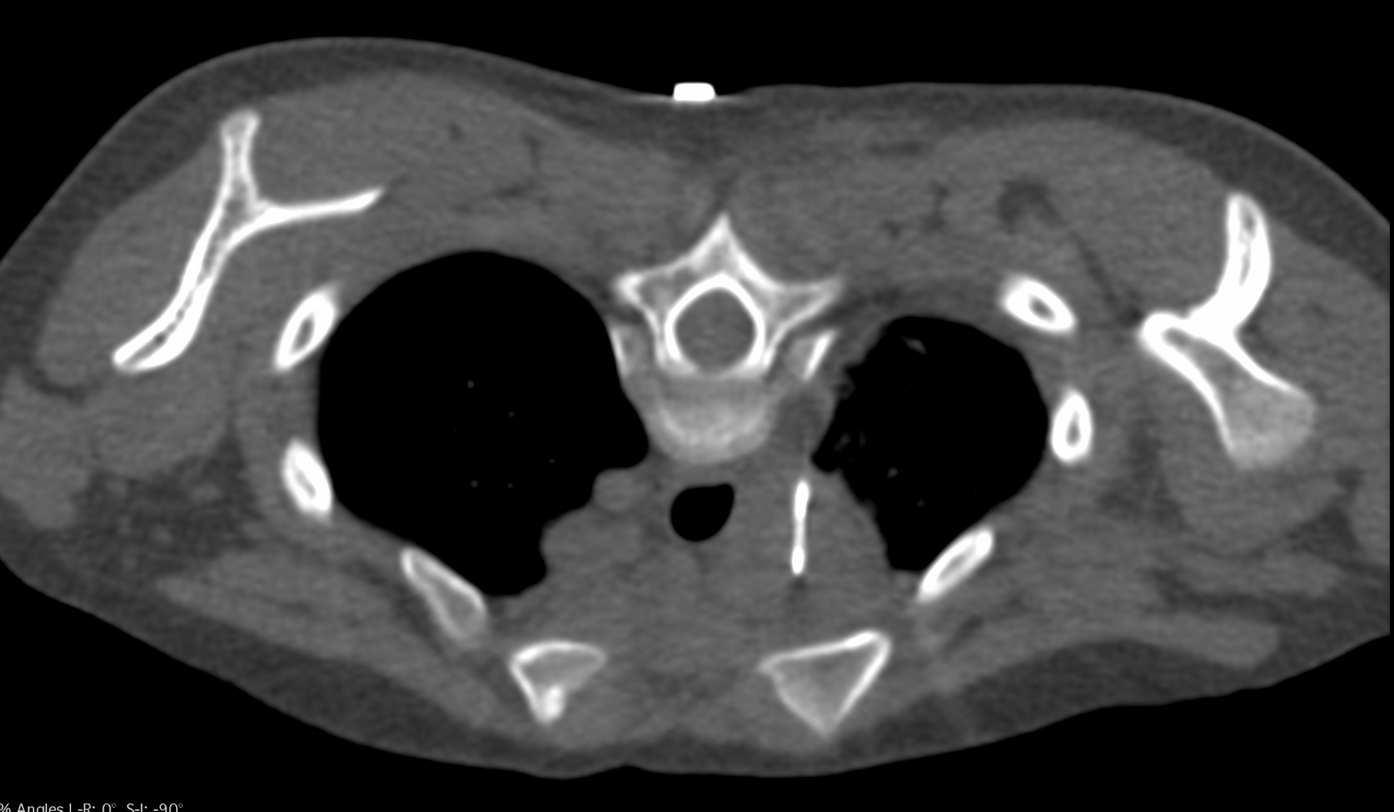
Case 1: Right Paratracheal Node Biopsy - One Stage - Pediatric
Bhavin Jankharia - 02 February 2021

Case 1: Right Paratracheal Node Biopsy - One Stage - Pediatric

Previous