CT Guided Biopsy
Understanding, learning and discussing CT guided biopsies and ablations
  • Home
  • About Me & This Site
  • Payment
  • Table of Contents
  • Tags
  • Levels of Difficulty
  • CT Chest Review
  • Search
  • Log In
  • Subscribe
  • RSS
© 2026 CT Guided Biopsy - Published with Ghost

Mediastinum

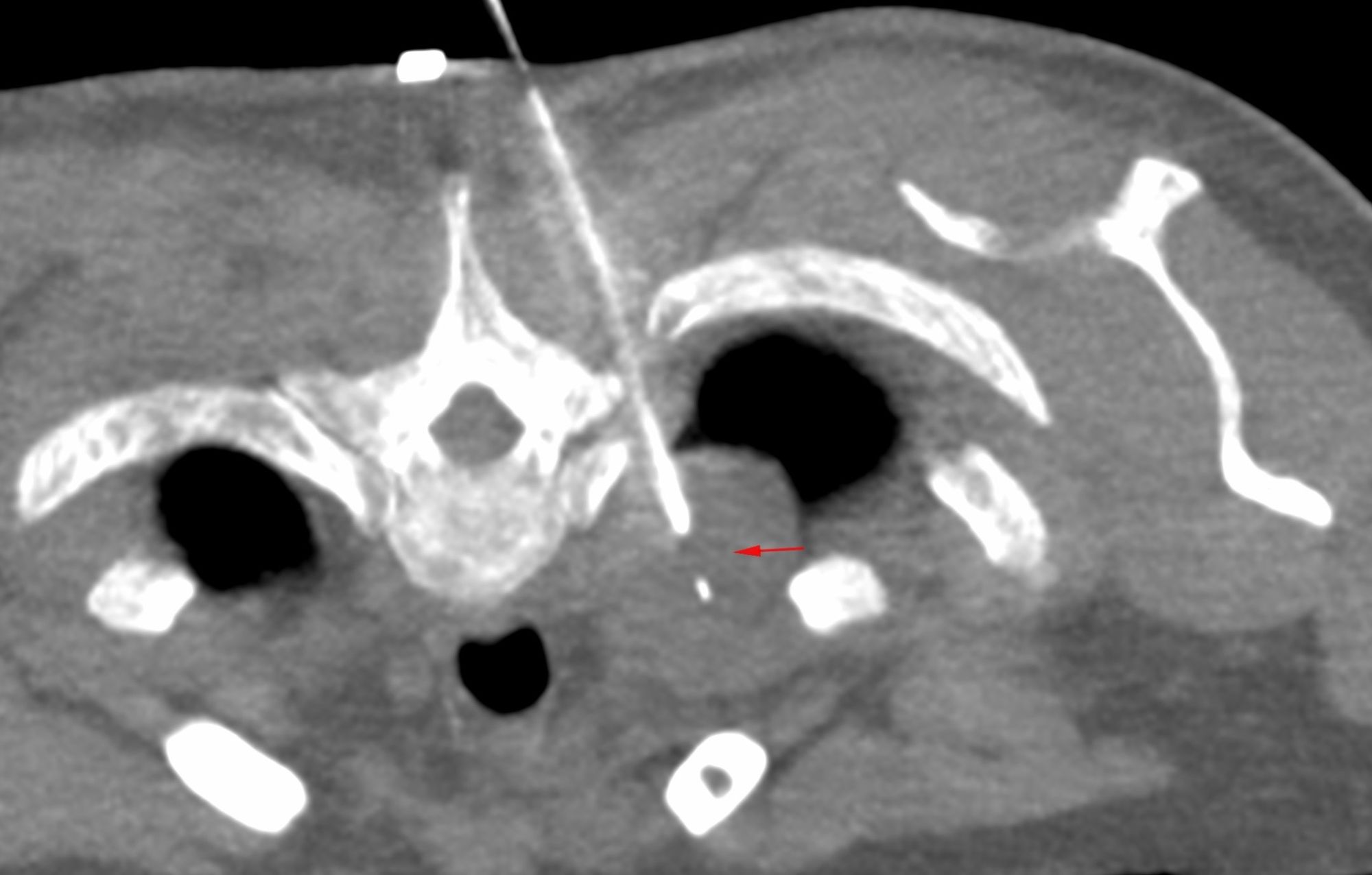
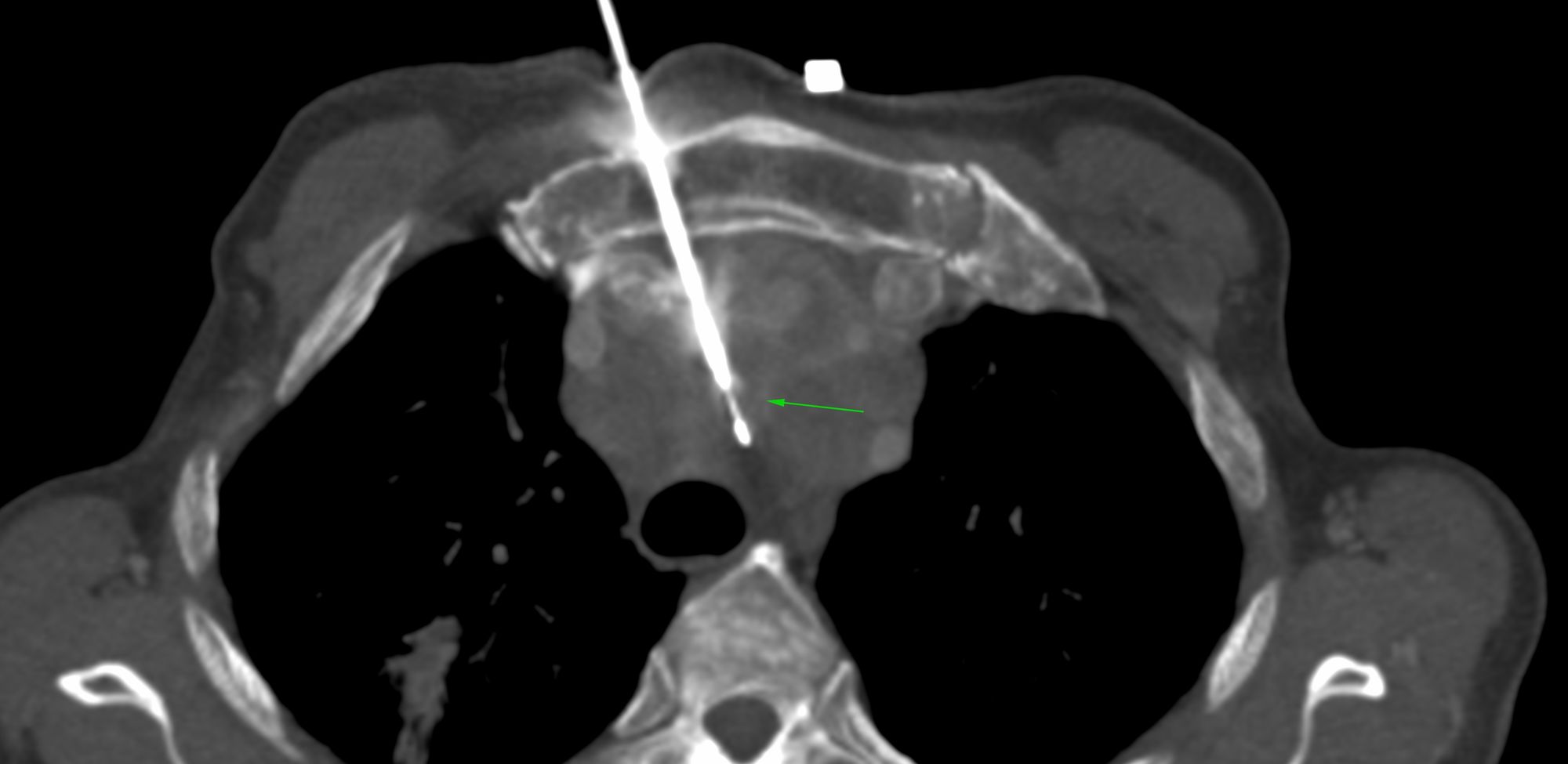
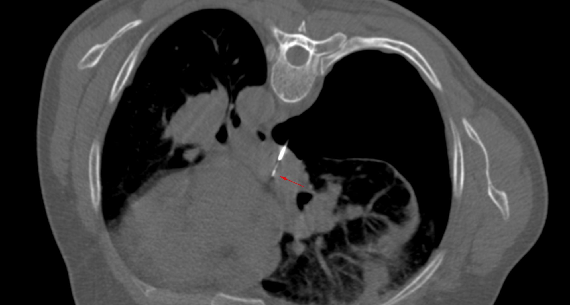
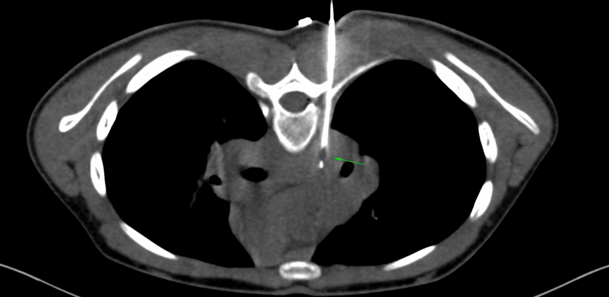
Case 124: Left Para-Aortic Posterior Mediastinal Node Biopsy
Bhavin Jankharia - 12 May 2023

Case 124: Left Para-Aortic Posterior Mediastinal Node Biopsy

Case 77: Prevascular Space Mediastinal Mass Biopsy Using a Parasternal Approach with Hydrodissection (Salinoma)
Bhavin Jankharia - 28 January 2022

Case 77: Prevascular Space Mediastinal Mass Biopsy Using a Parasternal Approach with Hydrodissection (Salinoma)

Case 69: Whose Responsibility is It After a Negative Biopsy to Push for a Repeat Biopsy?
Bhavin Jankharia - 03 December 2021

Case 69: Whose Responsibility is It After a Negative Biopsy to Push for a Repeat Biopsy?

Case 51: When Just “Touching” the Lesion Gives an Answer – Apical Hemithorax Schwannoma
Bhavin Jankharia - 28 July 2021

Case 51: When Just “Touching” the Lesion Gives an Answer – Apical Hemithorax Schwannoma

Case 50: When the "Feel" of the Lesion Gives The Diagnosis - Right Paratracheal Mediastinal Mass Biopsy with an Extrapleural Approach - Mediastinal Fibrosis
Bhavin Jankharia - 22 July 2021

Case 50: When the "Feel" of the Lesion Gives The Diagnosis - Right Paratracheal Mediastinal Mass Biopsy with an Extrapleural Approach - Mediastinal Fibrosis

Case 45: Subcarinal Node Biopsy…and The Six Weeks Conundrum
Bhavin Jankharia - 30 June 2021

Case 45: Subcarinal Node Biopsy…and The Six Weeks Conundrum

Case 38: Transsternal Biopsy of a Pretracheal Space Mediastinal Mass
Bhavin Jankharia - 30 May 2021

Case 38: Transsternal Biopsy of a Pretracheal Space Mediastinal Mass

Case 37: Transsternal, Transpulmonary Biopsy of a Prevascular Space Mediastinal Mass
Bhavin Jankharia - 27 May 2021

Case 37: Transsternal, Transpulmonary Biopsy of a Prevascular Space Mediastinal Mass

Case 36: Transsternal Biopsy of a Spontaneously Regressing Mediastinal Seminomatous Germ Cell Tumor...and Eating Humble Pie
Bhavin Jankharia - 24 May 2021

Case 36: Transsternal Biopsy of a Spontaneously Regressing Mediastinal Seminomatous Germ Cell Tumor...and Eating Humble Pie

Case 32: Subcarinal Node Biopsy - Transpleural Approach - Pre-Existing Pneumothorax
Bhavin Jankharia - 12 May 2021

Case 32: Subcarinal Node Biopsy - Transpleural Approach - Pre-Existing Pneumothorax

Case 31: Subcarinal Node Biopsy - Transpulmonary Approach
Bhavin Jankharia - 10 May 2021

Case 31: Subcarinal Node Biopsy - Transpulmonary Approach

Case 30: Subcarinal Node Biopsy - Extrapleural Approach
Bhavin Jankharia - 06 May 2021

Case 30: Subcarinal Node Biopsy - Extrapleural Approach

Previous
Next