CT Guided Biopsy
Understanding, learning and discussing CT guided biopsies and ablations
  • Home
  • About Me & This Site
  • Payment
  • Table of Contents
  • Tags
  • Levels of Difficulty
  • CT Chest Review
  • Search
  • Log In
  • Subscribe
  • RSS
© 2026 CT Guided Biopsy - Published with Ghost

Omentum

Live Session - Discussion of Jan 2026 Cases
Bhavin Jankharia - 03 March 2026

Live Session - Discussion of Jan 2026 Cases

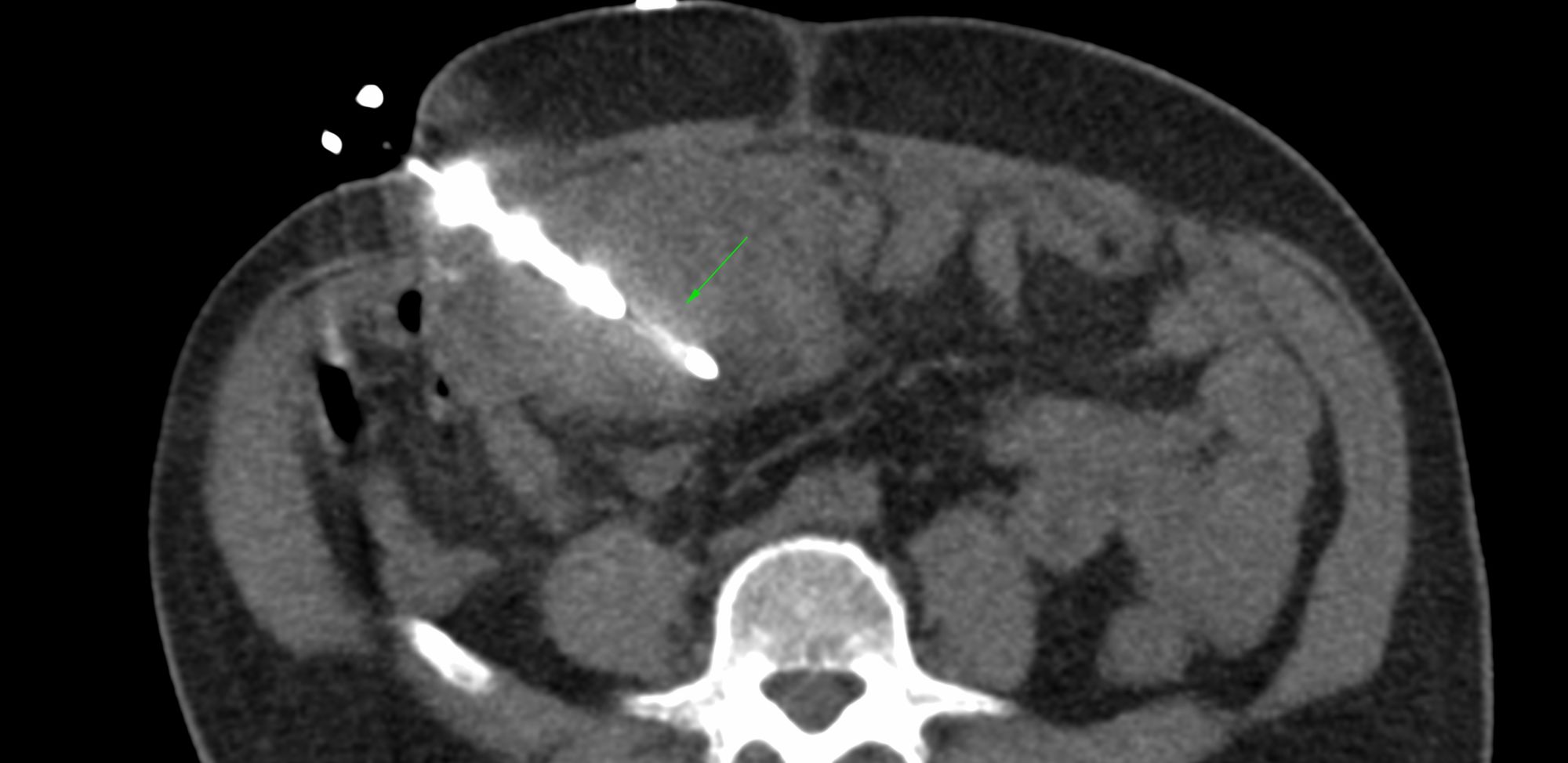
Case 95: Omental Nodule Biopsy
Bhavin Jankharia - 23 June 2022

Case 95: Omental Nodule Biopsy

Case 5: Peritoneal & Omental Masses
Bhavin Jankharia - 20 February 2021

Case 5: Peritoneal & Omental Masses