New Onetime Lifetime Subscription

Current Case:
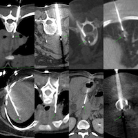
66-years old with treated lung cancer was found to have a right adrenal gland nodule.

What would be your approach?

The video below describes the case, why none of these approaches worked, but what was done finally was a biopsy using an ipsilateral up approach with hydrodissection.
Click here if you can't see the embedded video in your email.
Region: Adrenal Gland
Age: 66 yrs
Findings: Right adrenal gland nodule
Lesion Biopsied: Same
Size of Lesion: 16 mm z axis x 12.4 mm
Gun: 18G BARD, long, 20 mm throw
No of cores: 3 for histopath
Sedation: No
Position & Approach: left lateral decubitus - first prone, then rt lateral decubitus, then left plus hydrodissection, extrapleural
Time Taken (marker to wash-out): 17 mins
Complication: None
Level of Difficulty: 4/5
Diagnosis: Metastatic adenocarcinoma consistent with lung primary
Table of Contents and Other Adrenal Gland Biopsies Biopsies

Previous Post:

Other Sites and Cases:
Case of the Day on YouTube


