CT Guided Biopsy
Understanding, learning and discussing CT guided biopsies and ablations
  • Home
  • About Me & This Site
  • Payment
  • Table of Contents
  • Tags
  • Levels of Difficulty
  • CT Chest Review
  • Search
  • Log In
  • Subscribe
  • RSS
© 2026 CT Guided Biopsy - Published with Ghost
Case 33: Retrocrural Mass Biopsy - The Difference Between "It Can't Be Done" and "I Can't Do It"
Bhavin Jankharia - 15 May 2021

Case 33: Retrocrural Mass Biopsy - The Difference Between "It Can't Be Done" and "I Can't Do It"

Case 32: Subcarinal Node Biopsy - Transpleural Approach - Pre-Existing Pneumothorax
Bhavin Jankharia - 12 May 2021

Case 32: Subcarinal Node Biopsy - Transpleural Approach - Pre-Existing Pneumothorax

Case 31: Subcarinal Node Biopsy - Transpulmonary Approach
Bhavin Jankharia - 10 May 2021

Case 31: Subcarinal Node Biopsy - Transpulmonary Approach

Case 30: Subcarinal Node Biopsy - Extrapleural Approach
Bhavin Jankharia - 06 May 2021

Case 30: Subcarinal Node Biopsy - Extrapleural Approach

Case 29: To Biopsy or Not to Biopsy...That is Often the Question
Bhavin Jankharia - 03 May 2021

Case 29: To Biopsy or Not to Biopsy...That is Often the Question

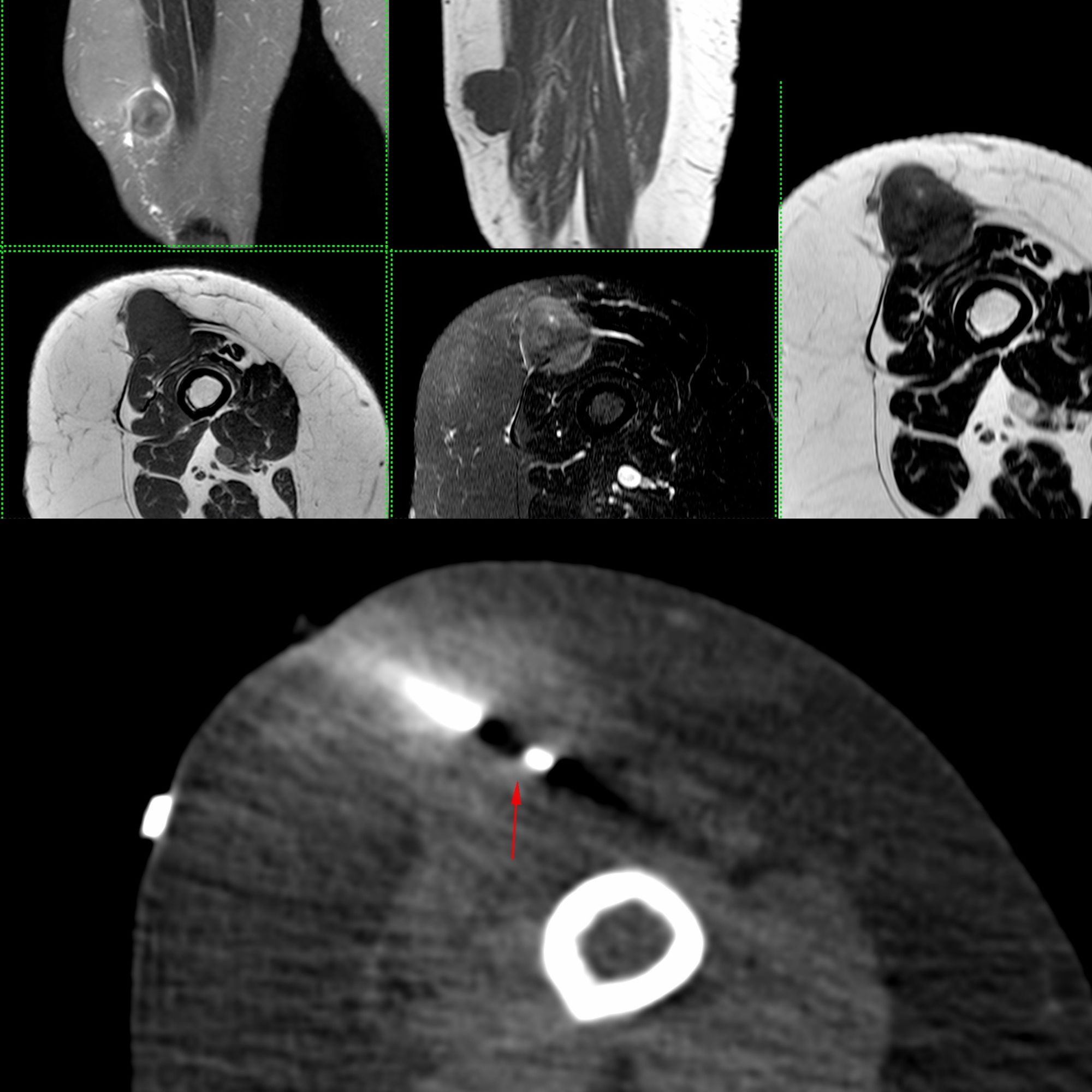
Case 28: Adipocytic Tumor Thigh - High Grade Liposarcoma
Bhavin Jankharia - 30 April 2021

Case 28: Adipocytic Tumor Thigh - High Grade Liposarcoma

Case 27: Adipocytic Tumor Right Axilla / Chest Wall
Bhavin Jankharia - 27 April 2021

Case 27: Adipocytic Tumor Right Axilla / Chest Wall

Case 26: 2nd Case - Trans-Thyroid Cervical Spine Biopsy for Infectious Disciitis
Bhavin Jankharia - 24 April 2021

Case 26: 2nd Case - Trans-Thyroid Cervical Spine Biopsy for Infectious Disciitis

Case 25: Trans-Thyroid Cervical Spine Biopsy for Infective Disciitis
Bhavin Jankharia - 21 April 2021

Case 25: Trans-Thyroid Cervical Spine Biopsy for Infective Disciitis

Case 24: Oropharyngeal / Parapharyngeal Mass Biopsy
Bhavin Jankharia - 18 April 2021

Case 24: Oropharyngeal / Parapharyngeal Mass Biopsy

Case 23: Biopsy of Greater Wing of Sphenoid in a 25-Years Old for Recurrent Adenoid Cystic Carcinoma
Bhavin Jankharia - 15 April 2021

Case 23: Biopsy of Greater Wing of Sphenoid in a 25-Years Old for Recurrent Adenoid Cystic Carcinoma

Case 22: 70-Years Lady with a Left Adrenal Nodule - Prone Posterolateral Approach
Bhavin Jankharia - 12 April 2021

Case 22: 70-Years Lady with a Left Adrenal Nodule - Prone Posterolateral Approach

Previous
Next