CT Guided Biopsy
Understanding, learning and discussing CT guided biopsies and ablations
  • Home
  • About Me & This Site
  • Payment
  • Table of Contents
  • Tags
  • Levels of Difficulty
  • CT Chest Review
  • Search
  • Log In
  • Subscribe
  • RSS
© 2026 CT Guided Biopsy - Published with Ghost
Case 45: Subcarinal Node Biopsy…and The Six Weeks Conundrum
Bhavin Jankharia - 30 June 2021

Case 45: Subcarinal Node Biopsy…and The Six Weeks Conundrum

Case 44: IVC Leiomyosarcoma Biopsy – The Tragedy of “It Can’t Be Done” and “Covid-19” and "Procrastination”
Bhavin Jankharia - 26 June 2021

Case 44: IVC Leiomyosarcoma Biopsy – The Tragedy of “It Can’t Be Done” and “Covid-19” and "Procrastination”

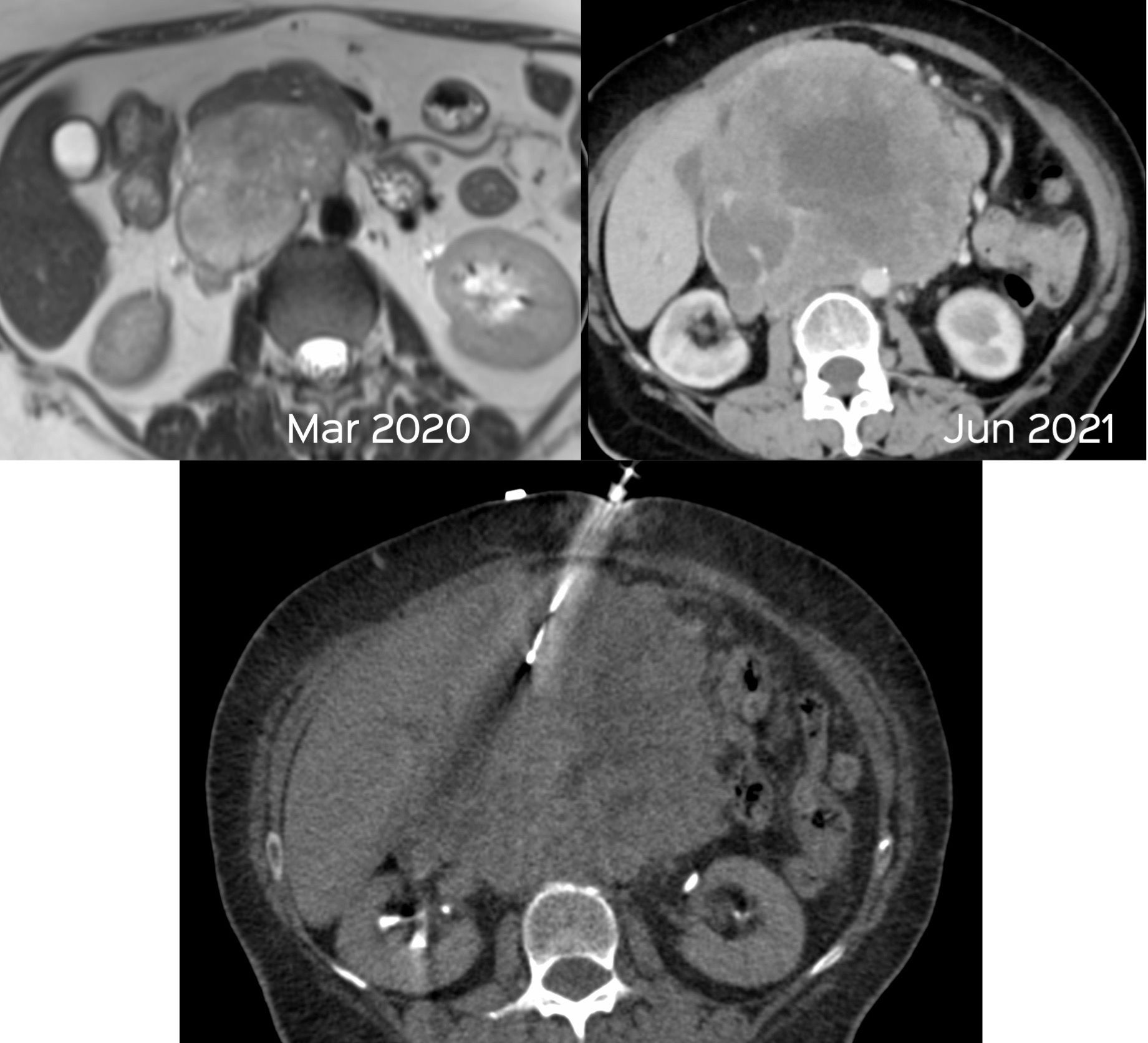
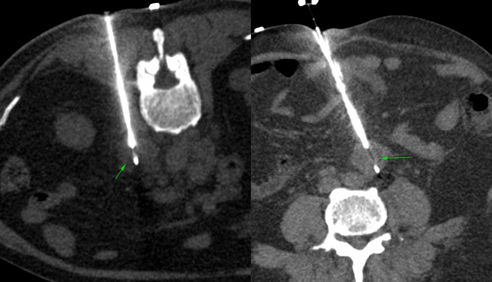
Case 43: Retroperitoneal Node Biopsy - First Prone, Then Supine
Bhavin Jankharia - 22 June 2021

Case 43: Retroperitoneal Node Biopsy - First Prone, Then Supine

Case 42: Complex Retroperitoneal Mass with Intra-Procedural Intravenous Contrast
Bhavin Jankharia - 17 June 2021

Case 42: Complex Retroperitoneal Mass with Intra-Procedural Intravenous Contrast

Case 41: Radiofrequency Ablation (RFA) of a Peri-Hilar Lung Mass
Bhavin Jankharia - 15 June 2021

Case 41: Radiofrequency Ablation (RFA) of a Peri-Hilar Lung Mass

Case 40: Radiofrequency Ablation (RFA) of D10 Pars Osteoid Osteoma
Bhavin Jankharia - 05 June 2021

Case 40: Radiofrequency Ablation (RFA) of D10 Pars Osteoid Osteoma

Case 39: Transscapular Biopsy of a Loculated Pleural Collection
Bhavin Jankharia - 02 June 2021

Case 39: Transscapular Biopsy of a Loculated Pleural Collection

Case 38: Transsternal Biopsy of a Pretracheal Space Mediastinal Mass
Bhavin Jankharia - 30 May 2021

Case 38: Transsternal Biopsy of a Pretracheal Space Mediastinal Mass

Case 37: Transsternal, Transpulmonary Biopsy of a Prevascular Space Mediastinal Mass
Bhavin Jankharia - 27 May 2021

Case 37: Transsternal, Transpulmonary Biopsy of a Prevascular Space Mediastinal Mass

Case 36: Transsternal Biopsy of a Spontaneously Regressing Mediastinal Seminomatous Germ Cell Tumor...and Eating Humble Pie
Bhavin Jankharia - 24 May 2021

Case 36: Transsternal Biopsy of a Spontaneously Regressing Mediastinal Seminomatous Germ Cell Tumor...and Eating Humble Pie

Case 35: Spearing a Moving Lung Nodule
Bhavin Jankharia - 21 May 2021

Case 35: Spearing a Moving Lung Nodule

Case 34: 18 mm Right Middle Lobe Subpleural Lung Nodule - Decubitus Approach
Bhavin Jankharia - 18 May 2021

Case 34: 18 mm Right Middle Lobe Subpleural Lung Nodule - Decubitus Approach

Previous
Next