CT Guided Biopsy
Understanding, learning and discussing CT guided biopsies and ablations
  • Home
  • About Me & This Site
  • Payment
  • Table of Contents
  • Tags
  • Levels of Difficulty
  • CT Chest Review
  • Search
  • Log In
  • Subscribe
  • RSS
© 2026 CT Guided Biopsy - Published with Ghost

4/5

Case 79: Inadvertent Transcolonic Biopsy of a Pancreatic Head Mass
Bhavin Jankharia - 12 February 2022

Case 79: Inadvertent Transcolonic Biopsy of a Pancreatic Head Mass

Case 78: Lateral Pharyngeal / Retropharyngeal Lesion Biopsy with a Paramaxillary Approach
Bhavin Jankharia - 05 February 2022

Case 78: Lateral Pharyngeal / Retropharyngeal Lesion Biopsy with a Paramaxillary Approach

Case 77: Prevascular Space Mediastinal Mass Biopsy Using a Parasternal Approach with Hydrodissection (Salinoma)
Bhavin Jankharia - 28 January 2022

Case 77: Prevascular Space Mediastinal Mass Biopsy Using a Parasternal Approach with Hydrodissection (Salinoma)

Case 76: When the Biopsy Needle is "Breathed Out" Of the Lesion
Bhavin Jankharia - 21 January 2022

Case 76: When the Biopsy Needle is "Breathed Out" Of the Lesion

Case 72: A Tip to Simplify a C1 Lateral Mass Biopsy
Bhavin Jankharia - 24 December 2021

Case 72: A Tip to Simplify a C1 Lateral Mass Biopsy

Case 71: The Fixed Point Method – II. Biopsy of a Perivascular Recurrent Pancreatic Adenocarcinoma
Bhavin Jankharia - 17 December 2021

Case 71: The Fixed Point Method – II. Biopsy of a Perivascular Recurrent Pancreatic Adenocarcinoma

Case 70: Tips and Tricks to Easily Biopsy a Seemingly Difficult Pancreatic Body Mass - The Fixed Point Method
Bhavin Jankharia - 10 December 2021

Case 70: Tips and Tricks to Easily Biopsy a Seemingly Difficult Pancreatic Body Mass - The Fixed Point Method

Case 67: Lung Nodule - FNAC vs Biopsy – The Recent Debate in the AJR in the Context of a Deep Lung Nodule Biopsy
Bhavin Jankharia - 19 November 2021

Case 67: Lung Nodule - FNAC vs Biopsy – The Recent Debate in the AJR in the Context of a Deep Lung Nodule Biopsy

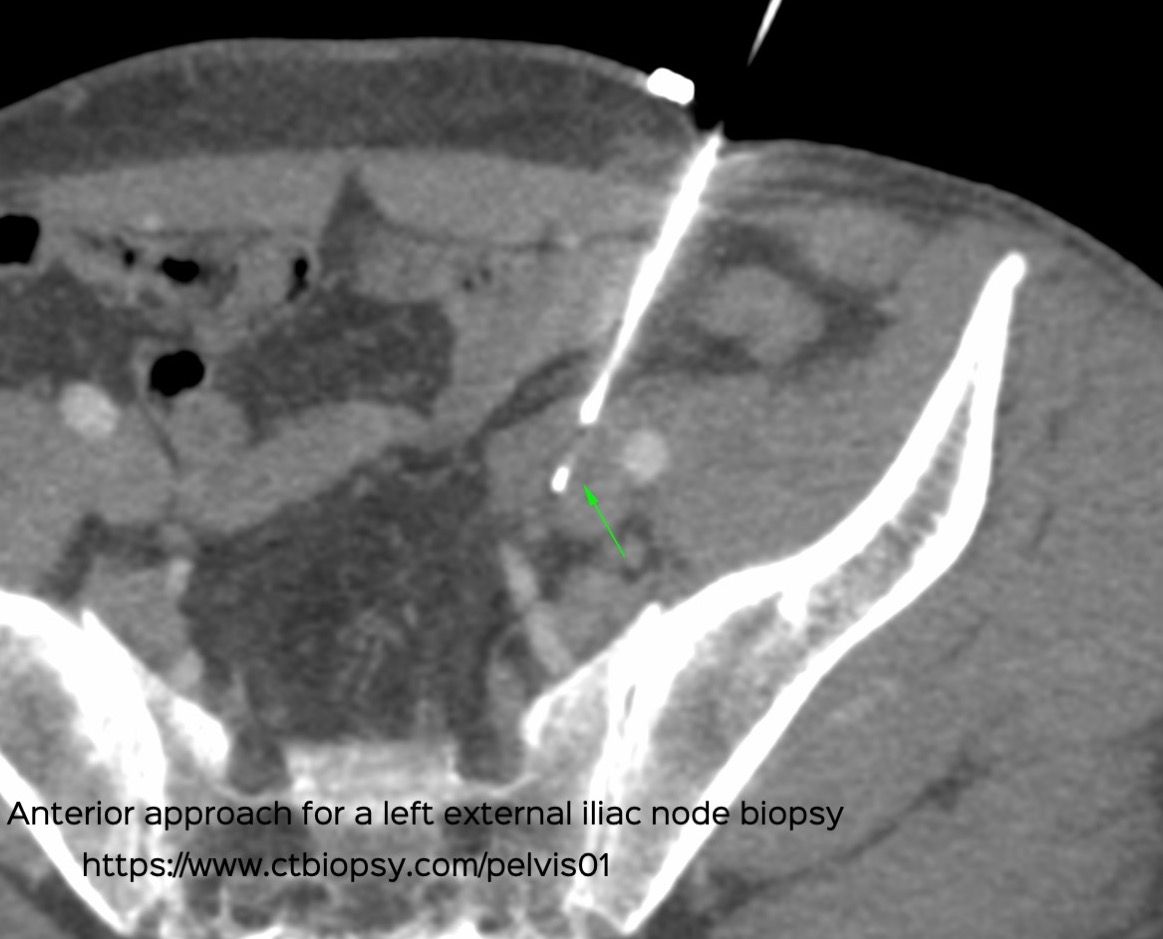
Case 63: Anterior Approach for Iliac Node Biopsy
Bhavin Jankharia - 14 October 2021

Case 63: Anterior Approach for Iliac Node Biopsy

Case 62: Transsacral Biopsy for Iliac Nodes
Bhavin Jankharia - 08 October 2021

Case 62: Transsacral Biopsy for Iliac Nodes

Case 58: Left Frontal Skull Bone Osteolytic Lesion Biopsy in a patient with Ca Breast
Bhavin Jankharia - 10 September 2021

Case 58: Left Frontal Skull Bone Osteolytic Lesion Biopsy in a patient with Ca Breast

Case 56: Adrenal Gland - Small Nodule Biopsy in the Prone Position
Bhavin Jankharia - 27 August 2021

Case 56: Adrenal Gland - Small Nodule Biopsy in the Prone Position

Previous
Next