This is a lecture I delivered on 8th Oct 2025 as part of the REF-Cafe Roentgen series.
I discuss the how, where, when and why of CT guided spine biopsies.
Click to subscribe to know each time a new post is up
Lecture
Other Similar Posts and Lectures
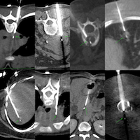
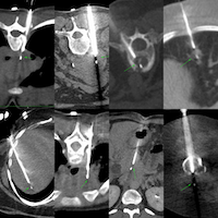
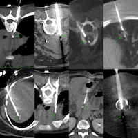
Lecture: Spine Biopsies - Tips and Tricks
Spine biopsies are simple, but need a little planning to arrive at the right approach to safely get as much material as possible for the diagnosis.

Snippet: Why Every Infectious Spondylitis Needs a Biopsy - Three Recent Unusual Spine Infections
Every infective discitis or spondylitis must be biopsied. Always.

Table of Contents
All the spine biopsy posts that you can access from here
Table of Contents
Table of Contents







