CT Guided Biopsy
Understanding, learning and discussing CT guided biopsies and ablations
  • Home
  • About Me & This Site
  • Payment
  • Table of Contents
  • Tags
  • Levels of Difficulty
  • CT Chest Review
  • Search
  • Log In
  • Subscribe
  • RSS
© 2026 CT Guided Biopsy - Published with Ghost
The 6 Cases for YouTube Live on 26 Feb at 7 PM Indian Standard Time
Bhavin Jankharia - 17 February 2026

The 6 Cases for YouTube Live on 26 Feb at 7 PM Indian Standard Time

YouTube Live Session - CT Guided Biopsy Cases from December 2025
Bhavin Jankharia - 10 January 2026

YouTube Live Session - CT Guided Biopsy Cases from December 2025

The 7 Cases for YouTube Live on 08 Jan at 7 PM Indian Standard Time
Bhavin Jankharia - 04 January 2026

The 7 Cases for YouTube Live on 08 Jan at 7 PM Indian Standard Time

Case 172 - Right Adrenal Gland Biopsy Using an Ipsilateral Up Approach with Hydrodissection
Bhavin Jankharia - 31 December 2025

Case 172 - Right Adrenal Gland Biopsy Using an Ipsilateral Up Approach with Hydrodissection

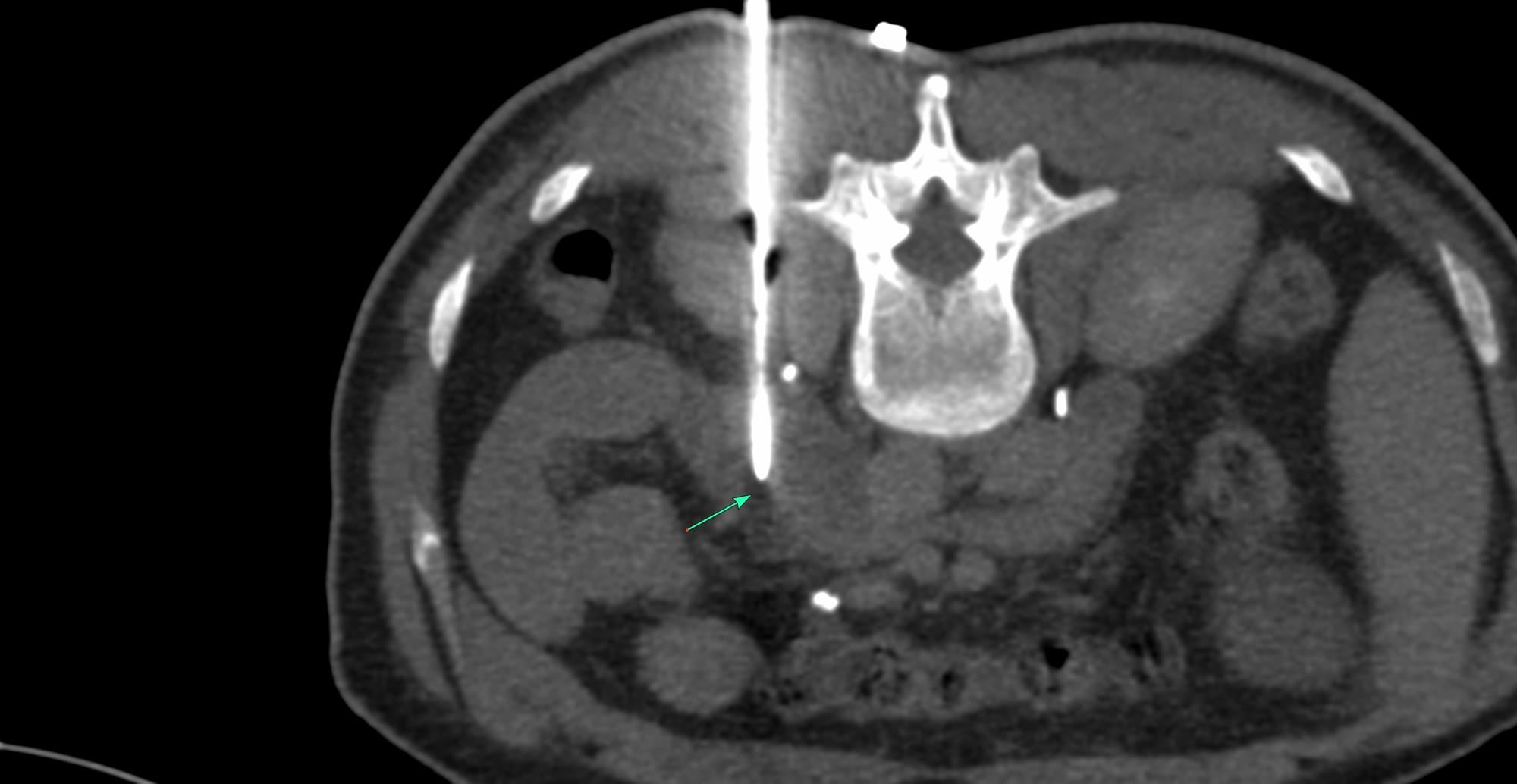
Case 171 - Splenic Mass Biopsy
Bhavin Jankharia - 04 December 2025

Case 171 - Splenic Mass Biopsy

COD 127 - Maxillary Sinus Biopsy
Bhavin Jankharia - 09 November 2025

COD 127 - Maxillary Sinus Biopsy

Lecture - CT Guided Spine Biopsies
Bhavin Jankharia - 11 October 2025

Lecture - CT Guided Spine Biopsies

Case of the Day 106 - 2025 09 22 - Retroperitoneal Posterior Parapsoas Approach - Macrocystic Lymphatic Malformation Aspiration
Bhavin Jankharia - 02 October 2025

Case of the Day 106 - 2025 09 22 - Retroperitoneal Posterior Parapsoas Approach - Macrocystic Lymphatic Malformation Aspiration

Lecture - Pulmonary Interventions
Bhavin Jankharia - 21 September 2025

Lecture - Pulmonary Interventions

Case of the Day 100 - 2025 09 10 - T2 Dark Thoracic Spinal Vertebral Lesion - Transpedicular Biopsy
Bhavin Jankharia - 14 September 2025

Case of the Day 100 - 2025 09 10 - T2 Dark Thoracic Spinal Vertebral Lesion - Transpedicular Biopsy

Case of the Day - 098 - 2025 09 08 - Confirming Tuberculosis of the Lower Cervical Spine
Bhavin Jankharia - 09 September 2025

Case of the Day - 098 - 2025 09 08 - Confirming Tuberculosis of the Lower Cervical Spine

Case of the Day - 094 - 2025 09 01 - Between a Rock and a Hard Place
Bhavin Jankharia - 02 September 2025

Case of the Day - 094 - 2025 09 01 - Between a Rock and a Hard Place

Previous
Next